Oral health-related quality of life of patients rehabilitated with fixed and removable implant-supported dental prostheses
- PMID: 35103325
- PMCID: PMC9304161
- DOI: 10.1111/prd.12419
Oral health-related quality of life of patients rehabilitated with fixed and removable implant-supported dental prostheses
Abstract
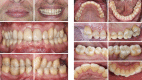
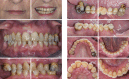
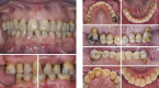
Dental implants have become a mainstream treatment approach in daily practice, and because of their high survival rates over time, they have become the preferred treatment option for prosthetic rehabilitation in many situations. Despite the relatively high predictability of implant therapy and high costs to patients, patient perceptions of success and patient-reported outcome measures have become increasingly significant in implant dentistry. Increasing numbers of publications deal with oral health-related quality of life and/or patient-reported outcome measures. The aim of this paper was to provide an overview of the available evidence on oral health-related quality of life of fully and partially dentate patients rehabilitated with fixed and removable implant-supported dental prostheses. A comprehensive electronic search was performed on publications in English up to 2021. A selection of standardized questionnaires and scales used for the evaluation of oral health-related quality of life were analyzed and explained. The analysis encompassed three aspects: a functional evaluation of oral health-related quality of life, an esthetic assessment of oral health-related quality of life, and a cost-related evaluation of oral health-related quality of life for rehabilitation with dental implants. The data demonstrated that the preoperative expectations of patients markedly affected the outcomes perceived by the patients. As expected, reconstructions supported by implants substantially improved the stability of conventional dentures and allowed improved function and patient satisfaction. However, from a patient's perspective, oral health-related quality of life was not significantly greater for dental implants compared with conventional tooth-supported prostheses. The connection of the implants to the prostheses with locators or balls indicated high oral health-related quality of life. The data also suggest that patient expectation is not a good predictor of treatment outcome. In terms of esthetic outcomes, the data clearly indicate that patients' perceptions and clinicians' assessments differed, with those of clinicians yielding higher standards. There were no significant differences found between the esthetic oral health-related quality of life ratings for soft tissue-level implants compared with those for bone-level implants. Comparison of all-ceramic and metal-ceramic restorations showed no significant differences in patients' perceptions in terms of esthetic outcomes. Depending on the choice of outcome measure and financial marginal value, supporting a conventional removable partial denture with implants is cost-effective when the patient is willing to invest more to achieve a higher oral health-related quality of life. In conclusion, the oral health-related quality of life of patients rehabilitated with implant-supported dental prostheses did not show overall superiority over conventional prosthetics. Clinicians' and patients' evaluations, especially of esthetic outcomes, are, in the majority of cases, incongruent. Nevertheless, patient-reported outcomes are important in the evaluation of function, esthetics, and the cost-effectiveness of treatment with implant-supported dental prostheses, and should be taken into consideration in daily practice.
Keywords: dental implants; esthetics; patient satisfaction; patient-reported outcome measures; quality of life.
© 2022 The Authors. Periodontology 2000 published by John Wiley & Sons Ltd.
Figures
References
-
- Karoussis I, Salvi G, Heitz‐Mayfield L, Brägger U, Hämmerle C, Lang NP. Long‐term implant prognosis in patients with and without a history of chronic periodontitis: a 10‐year prospective cohort study of the ITI Dental Implant System. Clin Oral Implants Res. 2003;14:329‐339. - PubMed
-
- Brånemark PI, Adell R, Breine U, Hansson BO, Lindström J, Ohlsson A. Intra‐osseous anchorage of dental prostheses. I. Experimental studies. Scand J Plast Reconstr Surg. 1969;3:81‐100. - PubMed
-
- Adell R, Lekholm U, Rockler B, Branemark PI. A 15‐year study of osseointegrated implants in the treatment of the edentulous jaw. Int J Oral Surg. 1981;10:387‐416. - PubMed
-
- Chen ST, Wilson TG Jr, Hämmerle CH. Immediate or early placement of implants following tooth extraction: review of biologic basis, clinical procedures, and outcomes. Int J Oral Maxillofac Implants. 2004;19(Suppl):12‐25. - PubMed
-
- Gallucci GO, Hamilton A, Zhou W, Buser D, Chen S. Implant placement and loading protocols in partially edentulous patients: a systematic review. Clin Oral Implants Res. 2018;29(Suppl 16):106‐134. - PubMed
Publication types
MeSH terms
Substances
LinkOut - more resources
Full Text Sources
Research Materials
