Calm before the Storm
- PMID: 35108473
- PMCID: PMC8830531
- DOI: 10.1056/NEJMcps2111163
Calm before the Storm
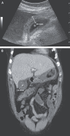
Figures



References
-
- Henter J-I, Horne A, Aricó M, et al. HLH-2004: diagnostic and therapeutic guidelines for hemophagocytic lymphohistiocytosis. Pediatr Blood Cancer 2007;48:124-131. - PubMed
-
- Fardet L, Galicier L, Lambotte O, et al. Development and validation of the HScore, a score for the diagnosis of reactive hemophagocytic syndrome. Arthritis Rheumatol 2014;66:2613-2620. - PubMed
-
- Multisystem inflammatory syndrome in adults (MIS-A) case definition information for healthcare providers. Centers for Disease Control and Prevention, 2021. (https://www.cdc.gov/mis/mis-a/hcp.html).
Publication types
MeSH terms
Substances
Supplementary concepts
Grants and funding
LinkOut - more resources
Full Text Sources
Medical