Clinical and genetic features of four patients with Pearson syndrome: An observational study
- PMID: 35119049
- PMCID: PMC8812667
- DOI: 10.1097/MD.0000000000028793
Clinical and genetic features of four patients with Pearson syndrome: An observational study
Abstract
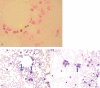
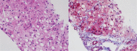
Pearson syndrome (PS) is a multisystem mitochondrial cytopathy arising from deletions in mitochondrial DNA. Pearson syndrome is a sporadic disease that affects the hematopoietic system, pancreas, eyes, liver, and heart and the prognosis is poor. Causes of morbidity include metabolic crisis, bone marrow dysfunction, sepsis, and liver failure in early infancy or childhood. Early diagnosis may minimize complications, but suspicion of the disease is difficult and only mitochondrial DNA gene testing can identify mutations. There is no specific treatment for PS, which remains supportive care according to symptoms; however, hematopoietic stem cell transplantation may be considered in cases of bone marrow failure.We herein describe the clinical and genetic characteristics of four patients with PS. One patient presented with hypoglycemia, two developed pancytopenia, and the final patient had hypoglycemia and acute hepatitis as the primary manifestation. All patients had lactic acidosis. Additionally, all patients showed a variety of clinical features including coagulation disorder, pancreatic, adrenal, and renal tubular insufficiencies. Two patients with pancytopenia died in their early childhood. Our experience expands the phenotypic spectrum associated with PS and its clinical understanding.
Copyright © 2022 the Author(s). Published by Wolters Kluwer Health, Inc.
Conflict of interest statement
The authors have no conflicts of interest to disclose.
Figures







References
-
- Faraci M, Cuzzubbo D, Micalizzi C, et al. . Allogeneic bone marrow transplantation for Pearson's syndrome. Bone Marrow Transplant 2007;39:563–5. - PubMed
-
- Goldstein A, Falk MJ. Mitochondrial DNA Deletion Syndromes. In: Adam MP, Ardinger HH, Pagon RA, et al, editors. GeneReviews((R)). Seattle (WA)1993.
-
- Schaefer AM, Taylor RW, Turnbull DM, Chinnery PF. The epidemiology of mitochondrial disorders--past, present and future. Biochim Biophys Acta 2004;1659:115–20. - PubMed
Publication types
MeSH terms
Substances
Supplementary concepts
Grants and funding
LinkOut - more resources
Full Text Sources
Medical