Reproductive effects of sulfoxaflor in male Sprague Dawley rats
- PMID: 35149940
- PMCID: PMC9209377
- DOI: 10.1007/s11356-022-19006-3
Reproductive effects of sulfoxaflor in male Sprague Dawley rats
Abstract
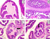
The study objective was to evaluate the potential reproductive toxicity of sulfoxaflor (SFX) insecticide in male Sprague Dawley rats. To attain these objectives, forty male Sprague Dawley rats of 10-12 weeks old were randomly divided into four equal groups; the 1st group was used as a control group; the other three groups were exposed to 25, 100, and 500 mg/kg body weight SFX by oral gavage for 4 weeks. Relative testicular weight, testosterone, FSH, LH, MDA, and GPx levels, sperm viability, sperm morphology, sperm DNA damage, and histopathological changes in testes, epididymis, and seminal vesical of these rats were investigated after 4 weeks. The results showed that SFX exposure resulted in a significant increase in FSH, LH, MDA, and GPx levels as well as the percentage of dead and abnormal sperms and DNA damage in rat sperms. Histopathological examination of testes established testicular degeneration with coagulative necrosis as well as the proliferation of interstitial connective tissue infiltrated with inflammatory cells with congestion of intertubular blood vessels in epididymis and degeneration of lining epithelium of seminal vesicles.
Keywords: Reproductive toxicity; Sperm morphology and sperm DNA damage; Sperm viability; Sulfoxaflor.
© 2022. The Author(s).
Conflict of interest statement
The authors declare no competing interests.
Figures









References
-
- Airaodion AI, Ngwogu AC, Megwas AU, Ekenjoku JA, Ngwogu KO. Effect of common household insecticides used in Nigeria on rat male reproductive hormones. Int J Res Rep in Gynaecol. 2019;2(1):1–8.
-
- Ali RI, Ibrahim MA. Malathion induced testicular toxicity and oxidative damage in male mice: the protective effect of curcumin. Egypt J Forensic Sci. 2018;8:1–13. doi: 10.1186/s41935-018-0099-x. - DOI
-
- Bacci L, Convertini S, Rossaro B. A review of sulfoxaflor, a derivative of biological acting substances as a class of insecticides with a broad range of action against many insect pests. J Entomol Acarol Res. 2018;50(3):7836. doi: 10.4081/jear.2018.7836. - DOI
MeSH terms
Substances
LinkOut - more resources
Full Text Sources