The Protective Impact of Salsola imbricata Leaf Extract From Taif Against Acrylamide-Induced Hepatic Inflammation and Oxidative Damage: The Role of Antioxidants, Cytokines, and Apoptosis-Associated Genes
- PMID: 35155650
- PMCID: PMC8835116
- DOI: 10.3389/fvets.2021.817183
The Protective Impact of Salsola imbricata Leaf Extract From Taif Against Acrylamide-Induced Hepatic Inflammation and Oxidative Damage: The Role of Antioxidants, Cytokines, and Apoptosis-Associated Genes
Abstract
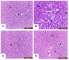
Salsola imbricata is a herbal plant native to Saudi Arabia, known for its antioxidative and anti-inflammatory properties. This study explored the protective effects of an ethanolic leaf extract of Salsola imbricata against the oxidative stress and hepatic injury caused by acrylamide. Rats received intragastric administrations of 20 mg/kg of body weight of acrylamide to induce hepatic injury, or 300 mg/kg of body weight of Salsola ethanolic extract orally for 7 days before acrylamide administration. The treatments were continued for 3 weeks. Blood and liver samples were collected from all the groups, and the following biochemical parameters were tested: serum ALT (alanine aminotransferase), AST (aspartate aminotransferase), GGT (gamma glutaryl transferase), urea, albumin, total proteins, catalase, SOD (superoxide dismutase), reduced glutathione (GSH), nitric oxide (NO), and MDA (malondialdehyde). Quantitative real-time PCR (qRT-PCR) was used to examine the expression of Nrf2 (Nuclear factor-erythroid factor 2-related factor 2), HO-1 (Hemoxygenase-1), COX-2 (Cyclooxgenase-2), TGF-β1 (transforming growth factor-beta1), Bax, and Bcl2 (B-cell lymphoma 2), which are associated with oxidative stress, fibrosis, apoptosis, and anti-apoptotic effects. The annexin and survivin immunoreactivity were examined at the immunohistochemical level. Pretreatment with the Salsola ethanolic extract reduced the negative impact of acrylamide on ALT, AST, GGT, urea, albumin, and total proteins. The Salsola ethanolic extract reversed acrylamide's effects on serum and tissue antioxidants. Nrf2/HO-1 expression was downregulated, while COX-2 and TGF-β1 were upregulated in the acrylamide-administered group and normalized by the pre-administration of Salsola ethanolic extract to the acrylamide experimental group. The immunoreactivity of annexin and survivin was restored in the experimental group administered Salsola ethanolic extract plus acrylamide. In conclusion, Salsola ethanolic extract inhibits and regulates the side effects induced in the liver by acrylamide. Salsola induced its impacts by regulating inflammation, oxidative stress, and apoptosis-/anti-apoptosis-associated genes at the biochemical, molecular, and cellular levels. Salsola is recommended as oxidative stress relievers against environmental toixicity at high altitude areas.
Keywords: Salsola imbricata; acrylamide; antioxidants; gene expression; hepatic toxicity; oxidative stress.
Copyright © 2022 Soliman, Alotaibi, Sayed, Hassan, Althobaiti, Aldhahrani, Youssef and El-Shehawi.
Conflict of interest statement
The authors declare that the research was conducted in the absence of any commercial or financial relationships that could be construed as a potential conflict of interest.
Figures










References
-
- Hussein RM, Anwar MM, Farghaly HS, Kandeil MA. Gallic acid and ferulic acid protect the liver from thioacetamide-induced fibrosis in rats via differential expression of miR-21, miR-30 and miR-200 and impact on TGF-β1/Smad3 signaling. Chem Biol Interact. (2020) 324:109098. 10.1016/j.cbi.2020.109098 - DOI - PubMed
LinkOut - more resources
Full Text Sources
Research Materials
Miscellaneous