Use of caudal pancreatectomy as a novel adjunct procedure to proximal splenorenal shunt in patients with noncirrhotic portal hypertension: A retrospective cohort study
- PMID: 35193996
- PMCID: PMC9136421
- DOI: 10.14701/ahbps.21-106
Use of caudal pancreatectomy as a novel adjunct procedure to proximal splenorenal shunt in patients with noncirrhotic portal hypertension: A retrospective cohort study
Abstract
Backgrounds/aims: Proximal splenorenal shunt (PSRS) is considered a one-time treatment for noncirrhotic portal hypertension (NCPH) to prevent recurrent upper gastrointestinal (UGI) hemorrhage and long-term complications. Long-term shunt patency is necessary to achieve these. The lie of the shunt is a contributing factor to early shunt thrombosis. We investigated the role of resection of the distal tail of pancreas (caudal pancreatectomy [CP]) in improving the lie of shunt and decreasing shunt thrombosis.
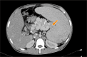
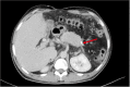
Methods: This was a retrospective cohort study of patients with NCPH who underwent PSRS between 2014-2020 in JIPMER, Puducherry, India. CP was performed in patients with a long tail of pancreas, with the tip of pancreatic tail extending up to splenic hilum on preoperative CT. Perioperative parameters and shunt patency rate of patients who underwent PSRS with CP (Group A) were compared with patients undergoing conventional PSRS (Group B). Statistical analysis was performed using the Mann-Whitney U test and χ2 test.
Results: Eighty four patients with NCPH underwent PSRS (extrahepatic portal vein obstruction = 39; noncirrhotic portal fibrosis = 45). Blood loss was lower (p = 0.002) and post-shunt fall in portal pressure higher (p = 0.002) in Group A. Shunt thrombosis rate was lower (p = 0.04) while rate of complete variceal regression (p = 0.03) and biochemical pancreatic leak (p = 0.01) were higher in Group A.There was no clinically relevant pancreatic fistula in either group.
Conclusions: CP is a safe and useful technique for reducing shunt thrombosis after PSRS in patients with NCPH by improving the lie of shunt.
Keywords: Caudal pancreatectomy; Lie of the shunt; Noncirrhotic portal hypertension; Proximal splenorenal shunt; Shunt thrombosis.
Conflict of interest statement
No potential conflict of interest relevant to this article was reported.
Figures






References
-
- Gupta S, Venkata Srinivas G, Chandrasekar AS, Kalayarasan R, Pottakkat B. Splenoadrenal shunt for noncirrhotic portal hypertension. Indian J Surg. 2019;81:28–31. doi: 10.1007/s12262-017-1706-z. - DOI
-
- Gupta S, Pottakkat B, Verma SK, Kalayarasan R, Chandrasekar AS, Pillai AA. Pathological abnormalities in splenic vasculature in non-cirrhotic portal hypertension: its relevance in the management of portal hypertension. World J Gastrointest Surg. 2020;12:1–8. doi: 10.4240/wjgs.v12.i1.1. - DOI - PMC - PubMed
LinkOut - more resources
Full Text Sources
Miscellaneous