Skip to main page content
U.S. flag

An official website of the United States government

Dot gov

The .gov means it’s official.
Federal government websites often end in .gov or .mil. Before sharing sensitive information, make sure you’re on a federal government site.

Https

The site is secure.
The https:// ensures that you are connecting to the official website and that any information you provide is encrypted and transmitted securely.

Access keys NCBI Homepage MyNCBI Homepage Main Content Main Navigation
Case Reports
. 2022 Jan 18;14(1):e21392.
doi: 10.7759/cureus.21392. eCollection 2022 Jan.

Preoperative Challenges in Managing Intraparotid Schwannoma

Affiliations
Case Reports

Preoperative Challenges in Managing Intraparotid Schwannoma

Mohamed Iliyas Sultan Abdul Kader et al. Cureus. .

Abstract

Schwannomas are a benign and rare entity that originates from Schwann cells. The majority of schwannomas are found in the head and neck regions and usually involve the intratemporal course of the facial nerve (FN). Isolated extratemporal intraparotid involvement is very rare. It is very challenging to diagnose intraparotid facial nerve schwannoma (PFNS) based on fine needle aspiration cytology (FNAC) preoperatively. We report a case of an intraparotid facial nerve schwannoma masquerading as pleomorphic adenoma. The diagnostic challenges and imaging features along with its management are discussed.

Keywords: facial nerve; head and neck neoplasms; imaging; parotid; schwannoma.

PubMed Disclaimer

Conflict of interest statement

The authors have declared that no competing interests exist.

Figures

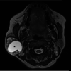
Figure 1
Figure 1. T2-weighted MRI (T2WI).
Image showing a well-defined lesion in the right parotid gland with a central homogeneous hyperintense component (*) suggestive of a cyst. Note the heterogeneous peripheral solid component with a few smaller microcysts within.
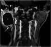
Figure 2
Figure 2. T1 VIBE fat-saturated image.
In a post-gadolinium image, the peripheral solid component enhances, surrounding the central non-enhancing hypointense cystic component (*). A smaller cyst (arrow) is also noted within the peripheral solid component. Note the normal mastoid segment of the right facial canal (dotted arrow) in relation to the parotid lesion.

References

    1. Pathomechanisms in schwannoma development and progression. Helbing DL, Schulz A, Morrison H. Oncogene. 2020;39:5421–5429. - PMC - PubMed
    1. Intraparotid facial nerve schwannoma: a report of five cases and an analysis of MR imaging results. Shimizu K, Iwai H, Ikeda K, Sakaida N, Sawada S. http://www.ajnr.org/content/26/6/1328.long. AJNR Am J Neuroradiol. 2005;26:1328–1330. - PMC - PubMed
    1. The intraparotid facial nerve schwannoma: a diagnostic and management conundrum. Gross BC, Carlson ML, Moore EJ, Driscoll CL, Olsen KD. Am J Otolaryngol. 2012;33:497–504. - PubMed
    1. Facial nerve schwannomas: review of 80 cases over 25 years at Mayo Clinic. Carlson ML, Deep NL, Patel NS, et al. Mayo Clin Proc. 2016;91:1563–1576. - PubMed
    1. The neuroimaging and clinical spectrum of neurofibromatosis 2. Mautner VF, Lindenau M, Baser ME, et al. Neurosurgery. 1996;38:880–885. - PubMed

Publication types

LinkOut - more resources