Sulfurtransferases and Cystathionine Beta-Synthase Expression in Different Human Leukemia Cell Lines
- PMID: 35204649
- PMCID: PMC8961552
- DOI: 10.3390/biom12020148
Sulfurtransferases and Cystathionine Beta-Synthase Expression in Different Human Leukemia Cell Lines
Abstract
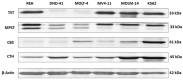
The studies concerned the expression of sulfurtransferases and cystathionine beta-synthase in six human leukemia cell lines: B cell acute lymphoblastic leukemia-B-ALL (REH cells), T cell acute lymphoblastic leukemia-T-ALL (DND-41 and MOLT-4 cells), acute myeloid leukemia-AML (MV4-11 and MOLM-14 cells), and chronic myeloid leukemia-CML (K562 cells). Reverse transcription-polymerase chain reaction (RT-PCR) and Western blot analysis were performed to determine the expression of thiosulfate sulfurtransferase, 3-mercaptopyruvate sulfurtransferase, gamma-cystathionase, and cystathionine beta-synthase on the mRNA and protein level. Interestingly, we found significant differences in the mRNA and protein levels of sulfurtransferases and cystathionine beta-synthase in the studied leukemia cells. The obtained results may contribute to elucidating the significance of the differences between the studied cells in the field of sulfur compound metabolism and finding new promising ways to inhibit the proliferation of various types of leukemic cells by modulating the activity of sulfurtransferases, cystathionine beta-synthase, and, consequently, the change of intracellular level of sulfane sulfur as well as H2S and reactive oxygen species production.
Keywords: 3-mercaptopyruvate sulfurtransferase; cystathionine beta-synthase; gamma-cystathionase; l-cysteine; leukemia cells; thiosulfate sulfurtransferase.
Conflict of interest statement
The authors declare no conflict of interest.
Figures







References
-
- Sharma N., Sharma S. Efficient method to detect leukemia using artificial intelligence. Int. J. Sci. Eng. Res. 2018;9:777–783.
-
- Inoue T., Swain A., Nakanishi Y., Sugiyama D. Multicolor analysis of cell surface marker of human leukemia cell lines using flow cytometry. Anticancer Res. 2014;34:4539–4550. - PubMed
-
- Pelcovits A., Niroula R. Acute myeloid leukemia: A review. Rhode Isl. Med. J. 2020;103:38–40. - PubMed
Publication types
MeSH terms
Substances
LinkOut - more resources
Full Text Sources
Medical