Concomitant COVID-19 and pulmonary tuberculosis: computed tomography aspects
- PMID: 35210657
- PMCID: PMC8864692
- DOI: 10.1590/0100-3984.2021.0070
Concomitant COVID-19 and pulmonary tuberculosis: computed tomography aspects
Abstract
Objective: To describe the relationship between coronavirus disease 2019 (COVID-19) and pulmonary tuberculosis during the current pandemic, as well as to describe the main computed tomography (CT) findings in patients suffering from both diseases simultaneously.
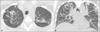
Materials and methods: This was a retrospective, cross-sectional observational study of the chest CT scans of 360 patients with COVID-19, as confirmed by RT-PCR.
Results: In four (1.1%) of the patients, changes suggestive of COVID-19 and tuberculosis were observed on the initial CT scan of the chest. On chest CT scans performed for the follow-up of COVID-19, cavitary lesions with bronchogenic spread were observed in two of the four patients, whereas alterations consistent with the progression of fibrous scarring related to previous tuberculosis were observed in the two other patients. The diagnosis of tuberculosis was confirmed by the isolation of Mycobacterium tuberculosis.
Conclusion: Albeit rare, concomitant COVID-19 and tuberculosis can be suggested on the basis of the CT aspects. Radiologists should be aware of this possibility, because initial studies indicate that mortality rates are higher in patients suffering from both diseases simultaneously.
Objetivo: Descrever a associação entre COVID-19 e tuberculose pulmonar durante a pandemia atual e descrever os principais achados tomográficos.
Materiais e métodos: Estudo retrospectivo transversal e observacional de tomografias computadorizadas de tórax realizadas em 360 pacientes com COVID-19 confirmada por RT-PCR.
Resultados: Em quatro pacientes (1,1%) foram encontradas alterações tomográficas sugestivas de associação entre COVID-19 e tuberculose. Em dois pacientes observaram-se escavações com disseminação broncogênica e em outros dois, alterações compatíveis com progressão de lesões fibrocicatriciais relacionadas a tuberculose prévia, em exames de controle para COVID-19. O diagnóstico foi confirmado pelo isolamento do Mycobacterium tuberculosis.
Conclusão: Apesar de incomum, a associação entre COVID-19 e tuberculose pode ser sugerida com base em aspectos tomográficos, devendo os radiologistas estar atentos a esta possibilidade, pois estudos iniciais indicam aumento da mortalidade nesses pacientes.
Keywords: COVID-19; Tomography, X-ray computed; Tuberculosis.
Figures



References
-
- World Health Organization . Global tuberculosis report 2020. Geneva, Switzerland: World Health Organization; 2020.
-
- Guerra MH, Matos ACG, Santos JB, et al. COVID-19 e tuberculose: coinfecção e riscos. Reserch Society and Development. 2021;10:1–13.
LinkOut - more resources
Full Text Sources