Is the cervical lordosis a key biomechanical biomarker in cervicogenic headache?: a Chiropractic Biophysics® case report with follow-up
- PMID: 35221522
- PMCID: PMC8860691
- DOI: 10.1589/jpts.34.167
Is the cervical lordosis a key biomechanical biomarker in cervicogenic headache?: a Chiropractic Biophysics® case report with follow-up
Abstract
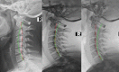
[Purpose] To present the successful structural improvement in cervical lordosis in a patient suffering from cervicogenic headache having cervical kyphosis. [Participant and Methods] A 26 year old female presented with the primary complaint of headache. Radiography demonstrated a cervical kyphosis. Chiropractic BioPhysics® methods were used to restore the cervical spine alignment. Twenty-five treatments were given over 8 weeks. A 2.5 year follow-up was also reported. [Results] Radiography showed a dramatic increase in cervical lordosis following initial treatment. The patient also reported substantial reductions in headache frequency and severity as well as other bodily improvements, reduced disability and improved quality of life. The long-term follow-up showed a maintenance of lordosis correction and patient wellness. [Conclusion] A cervical kyphosis was reversed back to a normal lordosis in 8 weeks and coincided with dramatic resolution of cervicogenic headache in a young female. The cervical lordosis may be a key biomechanical biomarker in cervicogenic headache.
Keywords: Biomechanical biomarker; Cervical lordosis; Cervicogenic headache.
2022©by the Society of Physical Therapy Science. Published by IPEC Inc.
Figures




References
-
- Headache Classification Committee of the International Headache Society (IHS): The International Classification of Headache Disorders, 3rd ed. Cephalagia, 2018, 38: 1–211. - PubMed
-
- Harrison DD, Janik TJ, Troyanovich SJ, et al. : Comparisons of lordotic cervical spine curvatures to a theoretical ideal model of the static sagittal cervical spine. Spine, 1996, 21: 667–675. - PubMed
-
- Harrison DD, Janik TJ, Troyanovich SJ, et al. : Evaluation of the assumptions used to derive an ideal normal cervical spine model. J Manipulative Physiol Ther, 1997, 20: 246–256. - PubMed
-
- Harrison DD, Harrison DE, Janik TJ, et al. : Modeling of the sagittal cervical spine as a method to discriminate hypolordosis: results of elliptical and circular modeling in 72 asymptomatic subjects, 52 acute neck pain subjects, and 70 chronic neck pain subjects. Spine, 2004, 29: 2485–2492. - PubMed