Case Report: Two Families With HPDL Related Neurodegeneration
- PMID: 35222531
- PMCID: PMC8864118
- DOI: 10.3389/fgene.2022.780764
Case Report: Two Families With HPDL Related Neurodegeneration
Abstract
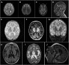
There are recent reports of associations of variants in the HPDL gene with a hereditary neurological disease that presents with a wide spectrum of clinical severity, ranging from severe neonatal encephalopathy with no psychomotor development to adolescent-onset uncomplicated spastic paraplegia. Here, we report two probands from unrelated families presenting with severe and intermediate variations of the clinical course. A homozygous variant in the HPDL gene was detected in each proband; however, there was no known parental consanguinity. We also highlight reductions in citrate synthase and mitochondrial complex I activity detected in both probands in different tissues, reflecting the previously proposed mitochondrial nature of disease pathogenesis associated with HPDL mutations. Further, we speculate on the functional consequences of the detected variants, although the function and substrate of the HPDL enzyme are currently unknown.
Keywords: ataxia; brain diseases; citrate-synthase; mitochondrial diseases; spastic paraplegia.
Copyright © 2022 Micule, Lace, Wright, Chrestian, Strautmanis, Diriks, Stavusis, Kidere, Kleina, Zdanovica, Laflamme, Rioux, Setty, Pajusalu, Droit, Lek, Rivest and Inashkina.
Conflict of interest statement
The authors declare that the research was conducted in the absence of any commercial or financial relationships that could be construed as a potential conflict of interest. The reviewer AL declared a past collaboration with one of the authors ML/ to the handling editor.
Figures
 
              
              
              
              
                
                
                 
              
              
              
              
                
                
                 
              
              
              
              
                
                
                References
- 
    - Husain R. A., Grimmel M., Wagner M., Hennings J. C., Marx C., Feichtinger R. G., et al. (2020). Bi-allelic HPDL Variants Cause a Neurodegenerative Disease Ranging from Neonatal Encephalopathy to Adolescent-Onset Spastic Paraplegia. Am. J. Hum. Genet. 107 (2), 364–373. 10.1016/j.ajhg.2020.06.015 - DOI - PMC - PubMed
 
Publication types
LinkOut - more resources
- Full Text Sources
 
        