Stylohyoid Complex Syndrome Associated With Unilateral Vocal Cord Palsy: A Case Report
- PMID: 35233334
- PMCID: PMC8881992
- DOI: 10.7759/cureus.21666
Stylohyoid Complex Syndrome Associated With Unilateral Vocal Cord Palsy: A Case Report
Abstract
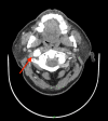
Eagle's syndrome is a rare cause of cervicofacial pain and is due to abnormalities in the stylohyoid process, stylohyoid ligament or lesser cornu of the hyoid bone. Generally, patients affected by Eagle's syndrome present with pain in the lateral or upper neck, angle of the mandible, submandibular space and throat (exacerbated by head movements and/or mastication); foreign body sensation; headache and referred otalgia. A 66-year old gentleman presented with a 36-month history of recurrent pain localising mainly to the right angle of the mandible and radiating to the submandibular triangle. No pathological changes were noted on multiple ultrasound scans. Flexible nasendoscopy revealed a right vocal cord palsy. Initially, the CT scan revealed an abnormality in the stylohyoid complex, and the patient was managed conservatively. Subsequent three-dimensional CT scan noted significant worsening of the abnormality in the stylohyoid complex. Due to progressive nature of the patient's symptoms and progression of stylohyoid complex calcification noted on imaging, the patient was listed for surgery. He underwent partial styloidectomy and vocal cord injection for cord paralysis secondary to impingement on the vagal nerve by the stylohyoid complex. The patient recovered well and denies any ongoing stylalgia. Various cases of Eagle's syndrome have been managed successfully in a conservative manner. However, the authors of this case report suggest that patients with Eagle's syndrome should be monitored closely. A delay in surgical intervention can lead to complications such as complete ossification of the stylohyoid complex and impingement on surrounding structures. This, in turn, increases intra-operative complexity.
Keywords: eagle's syndrome; styalgia; stylohyoid complex; unilateral neck pain; vocal cord paralysis.
Copyright © 2022, Loroch et al.
Conflict of interest statement
The authors have declared that no competing interests exist.
Figures





References
-
- Stylohyoid complex syndrome: a new diagnostic classification. Colby CC, Del Gaudio JM. Arch Otolaryngol Head Neck Surg. 2011;137:248–252. - PubMed
-
- Eagle's syndrome associated with lingual nerve paresthesia: a case report. Dong Z, Bao H, Zhang L, Hua Z. J Oral Maxillofac Surg. 2014;72:886–884. - PubMed
Publication types
LinkOut - more resources
Full Text Sources