Case series of gallstone ileus with one- or two-stage surgery
- PMID: 35272270
- PMCID: PMC9136425
- DOI: 10.14701/ahbps.21-139
Case series of gallstone ileus with one- or two-stage surgery
Abstract
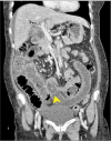
Gallstone ileus is an uncommon cause of intestinal obstruction. It may present with typical symptoms of intestinal obstruction with or without biliary sepsis. Its management strategies vary depending on the patient and operative factors. Enterotomy and stone removal alone versus synchronous cholecystectomy and fistula disconnection at the same stage, often pose a debate among surgeons. The decision for operative strategies largely depends on the surgeon's experience, patient's physiology, and operative difficulties. As literature on gall stone ileus remains insufficient at a regional level, we report four cases of gallstone ileus managed with different approaches. Three patients were managed in a staged-manner, whereas one patient received a definitive procedure performed at index surgery. Clinical challenges and associated operative strategies are discussed. Findings of the current study were compared to those of the literature. The need for a definitive fistula disconnection and repair or cholecystectomy following stone removal in these patients was subsequently discussed.
Keywords: Fistula; Gallstone; Intestinal obstruction.
Conflict of interest statement
No potential conflict of interest relevant to this article was reported.
Figures




References
Publication types
LinkOut - more resources
Full Text Sources
Research Materials