An unusual cause of pericardial effusion: A case report of a hepatic abscess following foreign body migration and duodenal perforation
- PMID: 35279521
- PMCID: PMC8924627
- DOI: 10.1016/j.ijscr.2022.106931
An unusual cause of pericardial effusion: A case report of a hepatic abscess following foreign body migration and duodenal perforation
Abstract
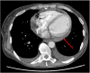
Introduction and importance: Although foreign bodies are a rare cause of gastrointestinal tract perforation, they may serve as a nidus for hepatic abscess. Abdominal pain is the most common presenting symptom. We present a case of an ingested pen causing duodenal perforation and hepatic abscess several months after initially presenting with a pericardial effusion.
Case presentation: A 59-year-old female living in an intensive tertiary mental health facility was noted to have an incidental pericardial effusion during work-up for hyponatremia. Seven months later, she developed a new fever and was noted to have interval increase in the pericardial effusion size. This prompted further investigation which finally revealed that an ingested pen had perforated through the first part of the duodenum and caused an abscess in the left lobe of the liver. The pericardial effusion was presumed secondary to local inflammation. Upon discovery of the abscess, the patient underwent successful operative management including abscess drainage, foreign body extraction, and duodenal repair.
Clinical discussion: Reports of hepatic abscess from foreign body causing duodenal perforation are rare, with bone fragments and toothpicks the most common foreign bodies implicated. There is one other previously reported case of an ingested pen. Abdominal pain is present in up to 85% of cases, but fever may be the only presenting symptom.
Conclusion: Foreign body migration causing a hepatic abscess may present non-specifically with unexplained fever or even pericardial effusion. Psychiatric comorbidities may contribute to delays in diagnosis due to difficulties recalling the episode of ingestion.
Keywords: Case report; Foreign body, hepatic abscess, duodenal perforation; Pen; Unusual pericardial effusion.
Copyright © 2022 The Authors. Published by Elsevier Ltd.. All rights reserved.
Conflict of interest statement
The authors have no conflicts of interest to declare.
Figures




References
-
- Lambert A. Abscess of the liver of unusual origin. NY Med. J. 1898:177–178. Published online.
-
- Wylie R. Foreign bodies in the gastrointestinal tract. Curr. Opin. Pediatr. 2006;18:563–564. - PubMed
-
- Tsui B., Mossey J. Occult liver abscess following clinically unsuspected ingestion of foreign bodies. Can. J. Gastroenterol. 1997;11:445–448. - PubMed
-
- Horii K., Yamazaki O., Matsuyama M., Higaki I., Kawai S., Sakaue Y. Successful treatment of a hepatic abscess that formed secondary to fish bone penetration by percutaneous transhepatic removal of the foreign body: report of a case. Surg. Today. 1999;29(9):922–926. doi: 10.1007/BF02482788. - DOI - PubMed
LinkOut - more resources
Full Text Sources