Disseminated peritoneal leiomyomatosis as an incidental finding: A case report
- PMID: 35280083
- PMCID: PMC8898820
- DOI: 10.1002/ccr3.5541
Disseminated peritoneal leiomyomatosis as an incidental finding: A case report
Abstract
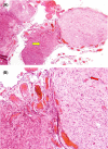
We present the case of a 23-year-old female with multiple diffuse and nodular masses of different sizes involving predominantly the posterior wall of the uterus, omentum, and peritoneum which were histopathologically confirmed to be disseminated peritoneal leiomyomatosis. Meticulous investigation and accurate diagnosis are of utmost importance for the establishment of the correct diagnosis. Additionally, proper management of the patient while considering choice of the patients including close follow-up of the patients is mandatory for the reason of ensuring early detection of recurrence.
Keywords: disseminated peritoneal leiomyomatosis; incidental finding; uterus.
© 2022 The Authors. Clinical Case Reports published by John Wiley & Sons Ltd.
Conflict of interest statement
The authors have no conflict of interest to declare.
Figures


References
-
- Tanaka YO, Tsunoda H, Sugano M. MR and CT findings of leiomyomatosis peritonealis disseminata with emphasis on assisted reproductive technology as a risk factor. Br J Radiol. 2009;82(975):e44‐e47. - PubMed
-
- Willson JR, Peale AR. Multiple peritoneal leiomyomas associated with a granulosa‐cell tumor of the ovary. Am J Obstet Gynecol. 1952;64(1):204‐208. - PubMed
-
- Tavassoli FA, Norris HJ. Peritoneal leiomyomatosis (leiomyomatosis peritonealis disseminata): a clinicopathological study of 20 cases with ultrastructural observations. Int J Gynecol Pathol. 1982;1:59‐74. - PubMed
-
- Fasih N, Shanbhogue A, Macdonald DB, et al. Leimyomas beyond the uterus: unusual locations, rare manifestations. Radiographics. 2008;28(7):1931‐1948. - PubMed
-
- Kumar S, Sharma JB, Verma D, et al. Disseminated peritoneal leiomyomatosis: an unusual complication of laparoscopic myomectomy. Arch Gynecol Obstet. 2008;278(1):93‐95. - PubMed
Publication types
LinkOut - more resources
Full Text Sources