Skip to main page content
U.S. flag

An official website of the United States government

Dot gov

The .gov means it’s official.
Federal government websites often end in .gov or .mil. Before sharing sensitive information, make sure you’re on a federal government site.

Https

The site is secure.
The https:// ensures that you are connecting to the official website and that any information you provide is encrypted and transmitted securely.

Access keys NCBI Homepage MyNCBI Homepage Main Content Main Navigation
. 2022 Feb;11(2):165-172.
doi: 10.21037/tlcr-22-32.

End-to-side anastomosis in complex tracheal resection and reconstruction: a case series study

Affiliations

End-to-side anastomosis in complex tracheal resection and reconstruction: a case series study

Jiaxi He et al. Transl Lung Cancer Res. 2022 Feb.

Abstract

Background: The development of current anesthetic and surgical techniques has increased the success rate of complex tracheal resection and reconstruction. End-to-end anastomosis is the prevailing method, while the end-to-side approach has also been reported to be practical and suitable. The current study aimed to demonstrate the feasibility and advantages of the end-to-side anastomosis method in specific cases.

Methods: We summarized 6 cases of patients with tracheobronchial tumors who received different end-to-side airway reconstructions in our center. Their clinical features and surgical procedures were also described. Postoperative follow-up was conducted to monitor their complications and prognosis.

Results: Among the patients involved in the study, 2 patients with tumors involving the bronchus intermedius received auto-lung transplantations under general anesthesia, 3 patients with tumors involving the lower trachea and carina underwent reconstruction under non-intubated combined anesthesia, and 1 patient with left main bronchus (LMB) involvement received surgery under venoarterial extracorporeal membrane oxygenation (VA ECMO)-supported non-intubated anesthesia. The surgical procedures were completed successfully without surgical or anesthetic incidents. Patients 1 and 2 underwent auto-lung transplantation with distal stumps and trachea end-to-side anastomosis (right lower lobe and right basal segment). Patients 3 and 4 received right main bronchus (RMB) to lateral trachea reconstruction, while Patients 5 and 6 underwent LMB to tracheal wall anastomosis. Anastomotic buttressing was performed using the thymus and mediastinal tissue. The patients were discharged within 2 weeks of the operation. No severe postoperative complications were reported, with the exception of Patient 5, who required a prolonged intensive care unit (ICU) stay with antibiotics due to pneumonia. Anastomotic necrosis, dehiscence, or stenosis were not observed in the postoperative bronchoscopy.

Conclusions: End-to-side anastomosis is a feasible and effective surgical method in airway reconstructions. This method facilitates tension-free anastomosis, which is crucial for surgical prognosis and decreasing complications. The reported cases had ideal surgical results during follow-up. The long-term outcomes of the end-to-side method require further evaluation.

Keywords: Trachea; anastomosis; case series; end-to-side; reconstruction.

PubMed Disclaimer

Conflict of interest statement

Conflicts of Interest: All authors have completed the ICMJE uniform disclosure form (available at https://tlcr.amegroups.com/article/view/10.21037/tlcr-22-32/coif). The authors have no conflicts of interest to declare.

Figures

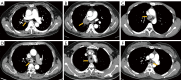
Figure 1
Figure 1
The preoperative CT scan images of the cases. (A) Patient 1 showed a 4 cm × 5 cm irregular mass in the RMB with hilar and mediastinal lymph node enlargement (yellow arrow); (B) patient 2 showed an 8 cm × 10 cm broccoli-like tumor in the bronchus intermedius involving the distal RMB (yellow arrow); (C) patient 3 showed a 3.0 cm irregular mass on the carina involving the orifice of the RMB with mediastinal lymph node enlargement; (D) patient 4 showed a 3.0 cm irregular mass with a rough and vascularized surface located in the carina. The proximal margin of the tumor was 1.2 cm above the carina, and the distal margins were 1 cm and 0.8 cm from the orifices of the LMB and RMB (yellow arrow); (E) patient 5 showed a longitudinal 3.5 cm irregular neoplasm involving the right and partial anterior wall of the thoracic trachea 2.5 cm from the carina (yellow arrow); (F) patient 6 showed an oval mass in the lower trachea measuring 4 cm longitudinally and involving the carina and the LMB orifice (yellow arrow). CT, computed tomography; RMB, right main bronchus; LMB, left main bronchus.
Figure 2
Figure 2
The three-dimensional model and diagram of Patient 3. (A) The tracheobronchial tree three-dimensional model of Patient 3 demonstrating an irregular mass located in the lower trachea involving the carina and partial RMB; (B) the postoperative three-dimensional model of Patient 3 after end-to-side airway reconstruction; (C) the diagram of the reconstruction of Patient 3 (trachea-LMB end-to-end anastomosis and trachea-RMB end-to-side anastomosis). RMB, right main bronchus; LMB, left main bronchus.
Figure 3
Figure 3
The postoperative CT scan of Patients 1 and 2. (A) Patient 1 received an end-to-side anastomosis via right basal segment stump and lateral tracheal wall. The graft is well inflated without anastomotic stenosis or airway occlusion; (B) Patient 2 received an end-to-side anastomosis via right lower lobe bronchial stump and lateral tracheal wall. The graft is well inflated without anastomotic stenosis or airway occlusion.

References

    1. Grillo HC, Mathisen DJ. Primary tracheal tumors: treatment and results. Ann Thorac Surg 1990;49:69-77. 10.1016/0003-4975(90)90358-D - DOI - PubMed
    1. Gaissert HA, Grillo HC, Shadmehr MB, et al. Long-term survival after resection of primary adenoid cystic and squamous cell carcinoma of the trachea and carina. Ann Thorac Surg 2004;78:1889-96; discussion 1896-7. 10.1016/j.athoracsur.2004.05.064 - DOI - PubMed
    1. Shai SE, Wang LL, Hung SC. Curing a Patient of Recurrent Tracheal Papillomatosis Using Laser Ablation and Adjuvant Radiotherapy. Ann Thorac Surg 2020;110:e91-3. 10.1016/j.athoracsur.2019.12.043 - DOI - PubMed
    1. Nam SJ, Oak CH, Jang TW, et al. Successful treatment of a tracheal squamous cell carcinoma with a combination of cryoablation and photodynamic therapy. Thorac Cancer 2013;4:191-4. 10.1111/j.1759-7714.2012.00126.x - DOI - PubMed
    1. Costantino CL, Geller AD, Wright CD, et al. Carinal surgery: A single-institution experience spanning 2 decades. J Thorac Cardiovasc Surg 2019;157:2073-2083.e1. 10.1016/j.jtcvs.2018.11.130 - DOI - PubMed