Paragonimiasis diagnosed by CT-guided transthoracic lung biopsy: Literature review and case report
- PMID: 35309377
- PMCID: PMC8927937
- DOI: 10.1016/j.radcr.2022.02.046
Paragonimiasis diagnosed by CT-guided transthoracic lung biopsy: Literature review and case report
Abstract
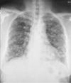
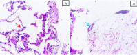
More than 40 different species of the parasitic flatworm Paragonimus have been identified worldwide, including in Vietnam, but only 10 species are known to cause disease in humans, particularly Paragonimus westermani. Paragonimus are transmitted through the ingestion of raw foods, especially freshwater shrimp, and crab. Paragonimiasis causes pneumonia, which can present as acute or chronic, with symptoms including prolonged cough, chest pain, shortness of breath, and hemoptysis. Hematologic changes include eosinophilia and the presence of specific antibodies for Paragonimus in the blood. Diagnosis is confirmed when Paragonimus specimens or eggs are found in the sputum or pleural fluid. The specificity of imaging is not high, but imaging can be used to guide the diagnosis. After the failure of microbiological diagnostic methods, lung biopsy can be used to confirm a diagnosis of paragonimiasis. We present a paragonimiasis case associated with unique features, including epidemiologic factors, atypical clinical signs, no increases in blood eosinophils, and negative microbiological tests. Although the patient was suspected of tuberculosis or lung cancer, imaging studies were consistent with the presence of lung flukes. Three transthoracic lung biopsies were performed, and pathology revealed a cystic structure containing Paragonimus on the third biopsy.
Keywords: Computed tomography; Lung fluke; Paragonimiasis; Paragonimus; Paragonimus westermani.
© 2022 The Authors. Published by Elsevier Inc. on behalf of University of Washington.
Figures










References
-
- Richard Webb W., Higgins Charles B. Thoracic imaging: pulmonary and cardiovascular radilogy. Wolters Kluwer. 2017;3:400–455.
-
- De Nguyen Van et Al. Paragonimiasis. Hanoi Medical Publisher. 2004;1:12–129.
-
- De Nguyen Van. Epidemiology pathology and treatment of paragonimiasis in Vietnam. Southeast Asian J Trop Med Public Health. 2004;35(Supplement 1):331–336.
Publication types
LinkOut - more resources
Full Text Sources