18 months computed tomography follow-up after Covid-19 interstitial pneumonia
- PMID: 35315262
- PMCID: PMC8973211
- DOI: 10.4081/jphr.2022.2782
18 months computed tomography follow-up after Covid-19 interstitial pneumonia
Abstract
Background: Our aim is to evaluate the possible persistence of lung parenchyma alterations, in patients who have recovered from Covid-19.
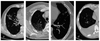
Design and methods: We enrolled a cohort of 115 patients affected by Covid-19, who performed a chest CT scan in the Emergency Department and a chest CT 18 months after hospital discharge. We performed a comparison between chest CT scan 18 months after discharge and spirometric data of patients enrolled. We obtained quantitative scores related to well-aerated parenchyma, interstitial lung disease and parenchymal consolidation. A radiologist recorded the characteristics indicated by the Fleischner Society and "fibrotic like" changes, expressed through a CT severity score ranging from 0 (no involvement) to 25 (maximum involvement).
Results: 115 patients (78 men, 37 women; mean age 60.15 years old ±12.52). On quantitative analysis, after 18 months, the volume of normal ventilated parenchyma was significantly increased (16.34 points on average ±14.54, p<0.0001). Ground-glass opacities and consolidation values tend to decrease (-9.80 and -6.67 points, p<0.0001). On semiquantitative analysis, pneumonia extension, reactive lymph nodes and crazy paving reached statistical significance (p<0.0001). The severity score decreased by 2.77 points on average (SD 4.96; p<0.0001). There were not statistically significant changes on "fibrotic-like" changes correlated with level of treatment and there was not a statistically significant correlation between CT lung score and spirometric results obtained 18 months after discharge.
Conclusions: Patients recovered from Covid-19 seem to have an improvement of ventilated parenchyma and "fibrotic-like" alterations. The level of treatment does not appear to influence fibrotic changes.
Figures
References
-
- World Health Organization. Coronavirus disease (COVID-19) pandemic. Available from: who.int/emergencies/diseases/novel-coronavirus-2019
-
- Hansell DM, Bankier AA, MacMahon H, et al. . Fleischner Society: Glossary of terms for thoracic imaging. Radiology 2008;246:697-722. - PubMed
LinkOut - more resources
Full Text Sources
