Clinicopathological Characteristics of Inflammatory Myositis Induced by COVID-19 Vaccine (Pfizer-BioNTech BNT162b2): A Case Report
- PMID: 35315602
- PMCID: PMC8938612
- DOI: 10.3346/jkms.2022.37.e91
Clinicopathological Characteristics of Inflammatory Myositis Induced by COVID-19 Vaccine (Pfizer-BioNTech BNT162b2): A Case Report
Abstract
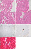
As more individuals were coronavirus disease 2019 (COVID-19) vaccinated, unexpected side effects appeared. Herein, we present the case of a 30-year-old man with myopathy in both extremities after the second dose of the Pfizer-BioNTech (BNT162b2) COVID-19 vaccine. Symptoms, swelling and pain, started from the proximal upper and lower extremities and extended to the distal parts. Although he underwent massive hydration, the muscle enzyme level continuously increased. He complained of dysphagia and dysarthria. Microscopically, muscle biopsy showed multifocal or scattered macrophage infiltration and degenerated myofibers. In contrast to general myopathy including inflammatory myositis and rhabdomyolysis, vaccine-induced inflammatory myositis shows a prolonged increase in muscle enzyme levels and multifocal macrophage infiltration with necrosis of the muscle fibers. Symptoms improved with glucocorticoid and immunosuppressive treatment. If vaccinated individuals experience severe and continuous muscle pain and swelling, clinicians should consider vaccine-induced inflammatory myositis, measure the muscle enzyme levels, and perform muscle biopsy for a definite diagnosis.
Keywords: Coronavirus; Inflammatory Myositis; Myopathy; Rhabdomyolysis; Vaccination.
© 2022 The Korean Academy of Medical Sciences.
Conflict of interest statement
All authors have no potential conflicts of interest to disclose.
Figures
Comment in
-
Letter to the Editor: Propacetamol-Induced Rhabdomyolysis or COVID-Vaccine-Related Inflammatory Myopathy?J Korean Med Sci. 2022 May 30;37(21):e179. doi: 10.3346/jkms.2022.37.e179. J Korean Med Sci. 2022. PMID: 35638201 Free PMC article. No abstract available.
References
Publication types
MeSH terms
Substances
LinkOut - more resources
Full Text Sources
Medical
Research Materials
