Impetigo Leishmaniasis Previously Diagnosed as Crusty Impetigo: A Case Study
- PMID: 35345709
- PMCID: PMC8942141
- DOI: 10.7759/cureus.22492
Impetigo Leishmaniasis Previously Diagnosed as Crusty Impetigo: A Case Study
Abstract
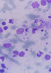
Cutaneous leishmaniasis is a zoonotic disease caused by several species of protozoa of the genus Leishmania. Cutaneous leishmaniasis classically presents as an ulcer with heaped edges, but it can also appear as nodular, scabbed, or plaque-like lesions. Its diagnosis requires confirmatory laboratory tests such as a smear, culture, and polymerase chain reaction. However, atypical presentations represent a diagnostic challenge in Tropical Medicine. For instance, localized cutaneous leishmaniasis (LCL) resembles bacterial and fungal tropical dermatological infections. Atypical presentations require an experienced clinician, epidemiological knowledge, and proper diagnostic tests. We present a case of a 10-year-old male who showed classic impetigo-like symptoms, which did not improve with topical or systemic antibiotic therapy. After a thorough case review, the patient was diagnosed with LCL. Therefore, epidemiological and clinical evaluation is crucial when diagnosing, especially in patients who live or have travelled to leishmaniasis-endemic areas.
Keywords: atypical presentation; cutaneous leishmaniasis; impetigo; leishmania panamensis; panama.
Copyright © 2022, Suarez et al.
Conflict of interest statement
The authors have declared that no competing interests exist.
Figures



References
-
- Leishmaniosis cutáneas. Mokni M. EMC Dermato. 2016;50:1–12.
-
- World Health Organization: Control of the leishmaniases: report of a meeting of the WHO Expert Commitee on the Control of Leishmaniases, Geneva, 22-26 March 2010. [ Feb; 2022 ];https://apps.who.int/iris/handle/10665/44412 2021
-
- American cutaneous leishmaniasis in infancy and childhood. Paniz-Mondolfi AE, Talhari C, García Bustos MF, et al. Int J Dermatol. 2017;56:1328–1341. - PubMed
-
- Cutaneous and mucocutaneous leishmaniasis: differential diagnosis, diagnosis, histopathology, and management. Handler MZ, Patel PA, Kapila R, Al-Qubati Y, Schwartz RA. J Am Acad Dermatol. 2015;73:911–926. - PubMed
-
- Pan American Health Organization. PAHO. Washington D.C.: PAHO; 2021. Leishmaniasis: epidemiological report of the Americas No. 10 (in Spanish)
Publication types
LinkOut - more resources
Full Text Sources