Clinical outcomes and etiology of acquired sixth cranial nerve palsy
- PMID: 35356946
- PMCID: PMC10684240
- DOI: 10.1097/MD.0000000000029102
Clinical outcomes and etiology of acquired sixth cranial nerve palsy
Abstract
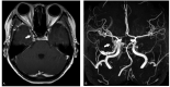
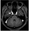
The objective of this study was to investigate the difference in clinical features according to age and factors affecting recovery of acquired sixth cranial nerve (CN6) palsy.A total of 156 patients with acute CN6 palsy between March 2016 and August 2021 who were followed up for at least 3 months were included in this study. Etiology, rate of recovery, and factors associated with recovery were retrospectively investigated.The average age of patients with CN6 palsy was about 60years and the mean duration of recovery was about 2.5 months. Of 156 patients, 72 (46.15%) had a microvascular etiology and 25 (16.03%) patients had a brain vascular lesions. Brain neoplasm, trauma, and "others" were found in 10 (6.41%), 11 (7.05%), and 15 (9.62%) patients, respectively. Among the total of 156 patients, 28 (17.95%) failed to completely recover. Non-isolated CN6 palsy with other cranial nerve palsies were recorded in 29 (18.59%) cases. Comparison of age (<50years vs ≥50years), between recovery and non-recovery groups showed that etiology was significantly different.The recovery rate of acquired CN6 palsy was about 82% and about 27% of patients had brain lesions. Also, varying rates and duration of recovery were found according to etiology, so we should be pay attention to diagnosis of causative disease in CN6 palsy patients.
Copyright © 2022 the Author(s). Published by Wolters Kluwer Health, Inc.
Conflict of interest statement
Figures





References
-
- Elder C, Hainline C, Galetta SL, Balcer LJ, Rucker JC. Isolated abducens nerve palsy: update on evaluation and diagnosis. Curr Neurol Neurosci Rep 2016;16:69. - PubMed
-
- Park US, Kim SJ, Hwang JM, Yu YS. Clinical features and natural history of acquired third, fourth, sixth cranial nerve palsy. Eye (Lond) 2008; 22:691- 6. - PubMed
MeSH terms
LinkOut - more resources
Full Text Sources