Pemetrexed-Induced Pseudotumor Cerebri Syndrome: A Rare Complication
- PMID: 35359528
- PMCID: PMC8965920
- DOI: 10.4103/aian.AIAN_628_20
Pemetrexed-Induced Pseudotumor Cerebri Syndrome: A Rare Complication
Conflict of interest statement
There are no conflicts of interest.
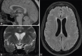
Figures



References
-
- Friedman DI, Liu GT, Digre KB. Revised diagnostic criteria for the pseudotumor cerebri syndrome in adults and children. Neurology. 2013;81:1159–65. - PubMed
-
- Incecik R, Ozcanyuz DG, Yilmaz M. Methotrexate-induced pseudotumor cerebri in a patient with idiopathic arthritis. Acta Neurol Belg. 2019;119:141–2. - PubMed