Impact of rapid palatal expansion on the size of adenoids and tonsils in children
- PMID: 35390750
- PMCID: PMC9213408
- DOI: 10.1016/j.sleep.2022.02.011
Impact of rapid palatal expansion on the size of adenoids and tonsils in children
Abstract
Introduction: Adenoid and tonsillar hypertrophy in children often leads to adverse respiratory symptoms and obstructive sleep apnea (OSA). Current clinical guidelines from the American Academy of Pediatrics and American Academy of Otolaryngology-Head and Neck Surgery recommend tonsillectomy as the first line of pediatric OSA treatment for children with tonsillar hypertrophy. Rapid palatal expansion (RPE) performed by orthodontists improves obstructive sleep apnea in children by reducing nasal airway resistance, increasing nasal volume, raising tongue posture, and enlarging pharyngeal airway. However, the role of RPE in alleviating adenoid and tonsillar hypertrophy remains elusive. In this study, we aim to evaluate the changes in adenoid and palatine tonsil sizes following RPE using 3D volumetric analysis of cone beam computational tomography (CBCT) imaging.
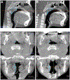
Materials and methods: In this retrospective cohort study, a total of 60 pediatric patients (mean age: 8.00, range: 5-15, 32 females and 28 males) who had tonsillar hypertrophy (size 3 and 4) were included and divided into the control group (n = 20) and expansion group (n = 40). The control group did not undergo any treatment. The expansion group underwent RPE using a conventional Hyrax expander, activated 0.25 mm per day for 4-6 weeks. Final CBCT scans (T2) were performed 13.8 ± 6.5 months after the initial scan (T1). Pediatric sleep questionnaire (PSQ) and BMI were obtained at each timepoint. Volumetric analysis of adenoid and palatine tonsils was performed using a combination of bony and soft tissue landmarks in CBCT scans through Anatomage Invivo 6 imaging software. Paired t-tests were used to evaluate the difference between the initial and final adenoid and tonsil volumes. p values less than 0.05 were considered statistically significant.
Results: Compared to the control group, the expansion group experienced a statistically significant decrease in both adenoid and tonsil volume. There was non-statistically significant increase in volume from T1 to T2 for the control group. For the expansion group, 90.0% and 97.5% of patients experienced significant reduction in adenoid and tonsil volume, respectively. The average volume decrease of adenoids was 16.8% while that of tonsils was 38.5%. The patients had up to 51.6% and 75.4% reduction in adenoid and tonsil size, respectively, following RPE orthodontic treatment. Pearson correlation ranged from 0.88 to 0.99 for each measurement, representing excellent internal consistency. There was a significant reduction in the PSQ scores from 5.81 ± 3.31 to 3.75 ± 2.38 in expansion group (p < 0.001).
Conclusions: Our results demonstrated that RPE significantly reduced the size of both adenoid and palatine tonsils and revealed another long-term benefit of RPE treatment. To our knowledge, this is the first study to quantify the changes of adenoids and tonsils following RPE. RPE treatment can be considered as a valid and effective treatment option for pediatric OSA population with narrow high arch palate and adenotonsillar hypertrophy.
Keywords: Adenoid hypertrophy; Narrow high arch palate; Pediatric obstructive sleep apnea; Rapid palatal expansion; Sleep disordered breathing; Tonsillar hypertrophy.
Copyright © 2022. Published by Elsevier B.V.
Conflict of interest statement
Conflict of interest
The Authors declare that they have no conflict of interest.
The ICMJE Uniform Disclosure Form for Potential Conflicts of Interest associated with this article can be viewed by clicking on the following link: 
Figures
 
              
              
              
              
                
                
                 
              
              
              
              
                
                
                 
              
              
              
              
                
                
                References
- 
    - Yonkers AJ, Spaur RC. Upper airway obstruction and the pharyngeal lymphoid tissue. Otolaryngol Clin 1987;20(2):235–9. - PubMed
 
- 
    - Pereira L, Monyror J, Almeida FT, et al. Prevalence of adenoid hypertrophy: a systematic review and meta-analysis. Sleep Med Rev 2018;38:101–12. - PubMed
 
- 
    - Kara CO, Ergin H, Kocak G, et al. Prevalence of tonsillar hypertrophy and associated oropharyngeal symptoms in primary school children in Denizli, Turkey. Int J Pediatr Otorhinolaryngol 2002;66(2):175–9. - PubMed
 
- 
    - Evcimik MF, Dogru M, Cirik AA, et al. Adenoid hypertrophy in children with allergic disease and influential factors. Int J Pediatr Otorhinolaryngol 2015;79(5):694–7. - PubMed
 
- 
    - Li Z, Celestin J, Lockey RF. Pediatric sleep apnea syndrome: an update. J Allergy Clin Immunol Pract 2016;4(5):852–61. - PubMed
 
 
        