Allergic bronchopulmonary candidiasis: A review of the literature and a case report
- PMID: 35392869
- PMCID: PMC8991785
- DOI: 10.1186/s12890-022-01921-3
Allergic bronchopulmonary candidiasis: A review of the literature and a case report
Abstract
Background: Allergic bronchopulmonary candidiasis (ABPC) is an uncommon clinical syndrome associated with immune hypersensitivity to Candida species.
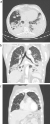
Case presentation: The case presentation describes a 58-year-old man with acute respiratory failure and bilateral lung infiltrates. Due to high inflammatory markers and a chest X-ray indicating lung infiltration, he was initially treated for pneumonia with combined antibiotics. Despite comprehensive treatment at the ICU, the patient's clinical status deteriorated rapidly, and further investigations provided a rare diagnosis of ABPC. After several days of combined corticosteroid and antifungal therapy, we observed rapid clinical improvement and subsequent resolution of the pulmonary infiltrates.
Conclusion: This case report presented a rare case of ABPC mimicking bilateral pneumonia and acute respiratory failure. Our case highlighted the importance of prompt corticosteroid and antifungal treatment initiation as it resulted in rapid clinical improvement and a near complete reversal of the bilateral lung infiltrates.
Keywords: Allergic bronchopulmonary candidiasis; Allergic bronchopulmonary mycosis; Candida albicans; Pulmonary infiltrates.
© 2022. The Author(s).
Conflict of interest statement
The authors declare that they have no competing interests.
Figures


References
-
- Kashefi E, Seyedi SJ, Zarrinfar H, Fata A, Mehrad-Majd H, Najafzadeh MJ. Molecular identification of candida species in bronchoalveolar lavage specimens of hospitalized children with pulmonary disorders. J Babol Univ Med Sci. 2021;23:331–336.
-
- Kashefi E, Seyedi SJ, Zomorodian K, Zare Shahrabadi Z, Zarrinfar H. Successful treatment of pulmonary aspergillosis due to Aspergillus fumigatus in a child affected by systemic lupus erythematosus: a case report from Northeastern Iran. Clin Case Rep. 2021;9:e04248. doi: 10.1002/ccr3.4248. - DOI - PMC - PubMed
Publication types
MeSH terms
Substances
Grants and funding
LinkOut - more resources
Full Text Sources
Medical