Gastrogastric intussusception in the setting of a small bowel obstruction
- PMID: 35415705
- PMCID: PMC8981875
- DOI: 10.1002/emp2.12719
Gastrogastric intussusception in the setting of a small bowel obstruction
Abstract
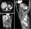
Adult patients comprise 5% of all intussusceptions with 2 to 3 cases per million per year. Of those, only 10% of adult intussusceptions involve the stomach. Gastrogastric intussusceptions are most often associated with lead points caused by gastric neoplasms, with a few caused by hiatal hernias or ascites. Unlike children, adult intussusceptions are rarely idiopathic. Herein, a case is presented of a 65-year-old male who was found to have a gastrogastric intussusception in the setting of a small bowel obstruction with no evidence of neoplasm confirmed by biopsy. The patient initially presented to the emergency department with nausea, emesis, and epigastric pain. Given that almost all reported cases have been associated with gastric neoplasms, this case shows an unusual phenomenon of gastrogastric intussusception that has not reported before. Furthermore, our case offers a different etiology of gastrogastric intussusception in adults other than being due to a gastric neoplasm.
Keywords: gastrogastric intussusception; small bowel obstruction.
© 2022 The Authors. JACEP Open published by Wiley Periodicals LLC on behalf of American College of Emergency Physicians.
Conflict of interest statement
The authors declare no conflict of interest.
Figures

References
Publication types
LinkOut - more resources
Full Text Sources