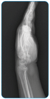
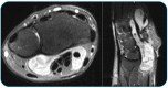
Hydatid Cyst in the Hand
- PMID: 35416878
- PMCID: PMC9009875
- DOI: 10.1590/0037-8682-0623-2021
Hydatid Cyst in the Hand
Conflict of interest statement
Figures



References
-
- Tekin R, Avci A, Tekin RC, Gem M, Cevik R. Hydatid cysts in muscles: Clinical manifestations, diagnosis, and management of this atypical presentation. Rev Soc Bras Med Trop. 2015;48(5):594–598. - PubMed
-
- Tekin R, Onat S, Tekin RC. Hydatid cysts in a patient with multiple organ involvement. Rev Soc Bras Med Trop. 2016;49(4):534–534. - PubMed
MeSH terms
LinkOut - more resources
Full Text Sources