Anesthetic Management in a Case of MURCS Syndrome
- PMID: 35422543
- PMCID: PMC9004267
- DOI: 10.4103/aer.aer_137_21
Anesthetic Management in a Case of MURCS Syndrome
Abstract
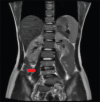
MURCS syndrome is a more severe form of Mayer-Rokitansky-Küster-Hauser (MRKH) syndrome, an acronym meaning aplasia/hypoplasia of Müllerian ducts (MU), congenital renal agenesis/ectopia (R), and cervical somite dysplasia (CS). A common presentation is primary amenorrhea in adolescent females. An anesthetist must consider the benefits and limitations of both regional and general anesthesia for these patients based on site of surgery and severity of malformations. We report successful anesthetic management of a 21-year-old female with MURCS syndrome scheduled for a creation of neovagina under spinal anesthesia using ultrasound guidance.
Keywords: Amenorrhea; Klippel–Feil; MURCS syndrome; Mayer-Rokitansky-Küster-Hauser syndrome; hemivertebra; scoliosis.
Copyright: © 2022 Anesthesia: Essays and Researches.
Conflict of interest statement
There are no conflicts of interest.
Figures


References
-
- Pittock ST, Babovic D, Lteif A. Mayer-Rokitansky-Küster-Hauser anomaly and its associated malformations. Am J Med Genet A. 2005;135:314–6. - PubMed
-
- Valappil S, Chetan U, Wood N, Garden A. Mayer- Rokitansky-Küster -Hauser syndrome: Diagnosis and management. Obstet Gynaecol. 2012;14:93.
-
- Huang J. Paramedian approach for neuraxial anaesthesia in parturient with scoliosis. Obstet Anaesth Dig. 2011;31:250.
-
- Perlas A, Chaparro LE, Chin KJ. Lumbar neuraxial ultrasound for spinal and epidural anesthesia: A systematic review and meta-analysis. Reg Anesth Pain Med. 2016;41:251–60. - PubMed
Publication types
LinkOut - more resources
Full Text Sources
Research Materials