Enhancing the biological activity of polyoxometalate-peptide nano-fibrils by spacer design
- PMID: 35424453
- PMCID: PMC8694496
- DOI: 10.1039/d0ra10218k
Enhancing the biological activity of polyoxometalate-peptide nano-fibrils by spacer design
Abstract
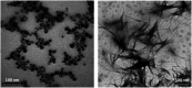
Polyoxometalates (POMs) and peptides can be conjugated to yield novel bio-hybrids with potential application as nanodrugs. However, the observed POM-induced folding of the peptide prevents its availability towards biological targets. An Anderson-Evans POM was functionalized with a bombesin analog peptide and engineered by adding a tailored hydrophilic and anionic spacer between the two moieties, to make the targeting sequence more accessible and enable an unprecedented cancer cell recognition capability.
This journal is © The Royal Society of Chemistry.
Conflict of interest statement
None of the authors has any conflict to declare.
Figures




References
-
- Arefian M. Mirzaei M. Eshtiagh-Hosseini H. Frontera A. Dalton Trans. 2017;46:6812–6829. doi: 10.1039/C7DT00894E. - DOI - PubMed
- Zhao M. Chen X. Chi G. Shuai D. Wang L. Chen B. Li J. Inorg. Chem. Front. 2020;7:4320–4332. doi: 10.1039/D0QI00860E. - DOI
- Van Rompuy L. S. Parac-Vogt T. N. Curr. Opin. Biotechnol. 2019;58:92–99. doi: 10.1016/j.copbio.2018.11.013. - DOI - PubMed
-
- Dolbecq A. Dumas E. Mayer C. R. Mialane P. Chem. Rev. 2010;110:6009–6048. doi: 10.1021/cr1000578. - DOI - PubMed
- Proust A. Matt B. Villanneau R. Guillemot G. Gouzerh P. Izzet G. Chem. Soc. Rev. 2012;41:7605–7622. doi: 10.1039/C2CS35119F. - DOI - PubMed
- Song Y. -F. Tsunashima R. Chem. Soc. Rev. 2012;41:7384–7402. doi: 10.1039/C2CS35143A. - DOI - PubMed
-
- Zamolo V. A. Modugno G. Lubian E. Cazzolaro A. Mancin F. Giotta L. Mastrogiacomo D. Valli L. Saccani A. Krol S. Bonchio M. Carraro M. Front. Chem. 2018;6:1–10. doi: 10.3389/fchem.2018.00001. - DOI - PMC - PubMed
- Modugno G. Fabbretti E. Dalle Vedove A. Da Ros T. Maccato C. Hosseini H. S. Bonchio M. Carraro M. Eur. J. Inorg. Chem. 2018:4955–4961. doi: 10.1002/ejic.201800802. - DOI
- Karimian D. Yadollahi B. Mirkhani V. Microporous Mesoporous Mater. 2017;247:23–30. doi: 10.1016/j.micromeso.2017.03.048. - DOI
- Geisberger G. Gyenge E. B. Hinger D. Bösiger P. Maake C. Patzke G. R. Dalton Trans. 2013;42:9914–9920. doi: 10.1039/C3DT50414J. - DOI - PubMed
LinkOut - more resources
Full Text Sources