Gallbladder volvulus
- PMID: 35425599
- PMCID: PMC8991761
- DOI: 10.1002/ccr3.5549
Gallbladder volvulus
Abstract
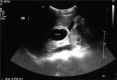
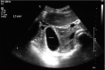
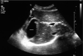
Gallbladder volvulus is a rare entity. The condition results in rotation of the gallbladder on its mesentery along the axis of cystic duct and artery. Gallbladder volvulus is a condition in which the organ twists on its long axis to the point where its vascular supply is compromised.
Keywords: Gallbladder; emergency; ultrasound; volvulus.
© 2022 The Authors. Clinical Case Reports published by John Wiley & Sons Ltd.
Conflict of interest statement
None declared.
Figures
References
-
- Tarhan OR, Barut I, Dinelek H. Gallbladder volvulus: review of the literature and report of a case. Turk J Gastroenterol. 2006;17(3):209‐211. - PubMed
LinkOut - more resources
Full Text Sources
