Page kidney: an unusual complication of image-guided native renal parenchymal biopsy - case report and literature review
- PMID: 35432668
- PMCID: PMC9010687
- DOI: 10.1016/j.radcr.2022.03.062
Page kidney: an unusual complication of image-guided native renal parenchymal biopsy - case report and literature review
Abstract
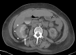
Page kidney is a pathologic phenomenon in which extrinsic compression of renal parenchyma from a subcapsular collection causes secondary systemic hypertension, via activation of the renin-angiotensin-aldosterone system. Following the first description of Page kidney, the condition was most often recognized following blunt trauma to the flank. Increasingly, non-traumatic and iatrogenic etiologies of Page kidney have been described. We present a case of Page kidney as a complication of image-guided native renal parenchymal core needle biopsy. The current literature on etiologies, pathophysiology, and treatment options for Page kidney are summarized.
Keywords: Biopsy; Hypertension; Interventional; Kidney; Percutaneous.
© 2022 The Authors. Published by Elsevier Inc. on behalf of University of Washington.
Figures




References
-
- Engel WJ, Page IH. Hypertension due to renal compression resulting from subcapsular hematoma. J Urol. 1955;73:735–739. - PubMed
-
- Dempsey J, Gavant ML, Cowles SJ, Gaber AO. Acute page kidney phenomenon: a cause of reversible renal allograft failure. South Med J. 1993;86:574–577. - PubMed
-
- Sasaguri M, Noda K, Matsumoto T, Shirai K, Tsuji E, Tsuji Y, et al. A case of hyperreninemic hypertension after extracorporeal shock-wave lithotripsy. Hypertens Res. 2000;23:709–712. - PubMed
-
- Pintar TJ, Zimmerman S. Hyperreninemic hypertension secondary to a subcapsular perinephric hematoma in a patient with polyarteritis nodosa. Am J Kidney Dis. 1998;32:503–507. - PubMed
-
- Haydar A, Bakri RS, Prime M, Goldsmith DJA. Page kidney–a review of the literature. J Nephrol. 2003;16:329–333. - PubMed
Publication types
Grants and funding
LinkOut - more resources
Full Text Sources