Breast Metastasis From Rectal Signet-Ring Cell Carcinoma: A Case Report and Review of Literature
- PMID: 35444939
- PMCID: PMC9013961
- DOI: 10.3389/fonc.2022.873354
Breast Metastasis From Rectal Signet-Ring Cell Carcinoma: A Case Report and Review of Literature
Abstract
Background: Metastatic rectal cancer (mRC) of the breast is an extremely rare clinical situation. There are few reported cases in domestic or foreign literature. The clinicopathologic characteristics along with the diagnostic and therapeutic strategies of such cases remain relatively unclear. Here, we would like to provide our comprehensive insights into this rare entity.
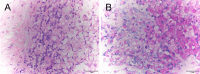
Methods: We present a case that till now is the first reported breast metastasis from rectal cancer pathologically diagnosed as a signet-ring cell carcinoma, and we review the current literature on this rare event. The detailed clinical data, histopathology, management, and follow-up aspects were gathered for analysis.
Results: A total of 15 cases were collected including the current case. Breast metastases from rectal cancer present at an average age of 47.7 years (range, 28 to 69 years) and appear with an average interval of 28.4 months (range, 5 months to 18 years) following primary tumor diagnoses. Of the 15 cases, 8 and 5 are pathologically diagnosed as adenocarcinomas and mucinous adenocarcinomas, respectively. Most cases (11/15) are accompanied by extramammary metastases. About half of the breast metastases (7/15) were to the left. In all cases, the main complaints were palpable mass. The average maximum diameter of the metastatic mass is 2.7 cm (range, 1-11 cm). The majority (8/12) of cases with accessible therapy information exclude the option of local surgery.
Conclusion: Previous cancer history and accurate immunohistochemistry data play critical roles to distinguish mammary metastasis from a primary neoplasm of the breast. Mastectomy and molecular-targeted drugs should be considered with priority if systemic condition supports them.
Keywords: breast cancer; breast metastasis; case report; rectal cancer; signet-ring cell carcinoma.
Copyright © 2022 Dai, Jin, Lan, Ding, Jiang and Liu.
Conflict of interest statement
The authors declare that the research was conducted in the absence of any commercial or financial relationships that could be construed as a potential conflict of interest.
Figures




References
Publication types
LinkOut - more resources
Full Text Sources