Subacute Sclerosing Panencephalitis in Children: The Archetype of Non-Vaccination
- PMID: 35458463
- PMCID: PMC9029616
- DOI: 10.3390/v14040733
Subacute Sclerosing Panencephalitis in Children: The Archetype of Non-Vaccination
Abstract
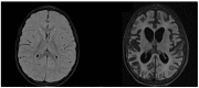
Subacute sclerosing panencephalitis (SSPE) is a late complication of measles virus infection that occurs in previously healthy children. This disease has no specific cure and is associated with a high degree of disability and mortality. In recent years, there has been an increase in its incidence in relation to a reduction in vaccination adherence, accentuated by the COVID-19 pandemic. In this article, we take stock of the current evidence on SSPE and report our personal clinical experience. We emphasise that, to date, the only effective protection strategy against this disease is vaccination against the measles virus.
Keywords: measles; subacute sclerosing panencephalitis; treatment; vaccination.
Conflict of interest statement
The authors declare no conflict of interest.
Figures




References
-
- White J.M., McDonald H., Tessier E., White J. Early impact of the coronavirus disease (COVID-19) pandemic and physical distancing measures on routine childhood vaccinations in England, January to April 2020. Eurosurveillance. 2020;25:2000848. doi: 10.2807/1560-7917.ES.2020.25.19.2000848. - DOI - PMC - PubMed
Publication types
MeSH terms
LinkOut - more resources
Full Text Sources
Medical