Case of Severe Treatment-Resistant Cryptogenic Organizing Pneumonia
- PMID: 35474923
- PMCID: PMC8958647
- DOI: 10.15388/Amed.2021.28.2.12
Case of Severe Treatment-Resistant Cryptogenic Organizing Pneumonia
Abstract
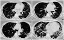
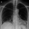
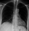
Cryptogenic organizing pneumonia is a rare interstitial lung disease with different onset of symptoms, which responds rapidly to glucocorticoid treatment. We present a case of cryptogenic organizing pneumonia which manifested as a progressive 3-year dyspnea that ultimately has led to acute respiratory failure. Moreover, treatment with prednisone for this patient exhibited slow onset of the effect.
Santrauka. Kriptogeninė organizuojanti pneumonija yra reta intersticinė plaučių liga, pasireiškianti įvairiais simptomais, kurie dažniausiai gretai išnyksta gydant gliukokortikoidais. Pristatome kriptogeninės organizuojančios pneumonijos atvejį, pasireiškusį 3 metus progresuojančiu dusuliu ir galiausiai išsivysčiusiu kvėpavimo nepakankamumu. Gydymas prednizolonu šiuo atveju nesukėlė tikėtino greito klinikinio atsako.Raktiniai žodžiai: organizuojanti pneumonija; ūmus kvėpavimo nepakankamumas; gydymas prednizolonu.
Keywords: acute respiratory failure; organizing pneumonia; prednisone therapy.
Copyright © 2021 Domas Grigoravičius, Edvardas Žurauskas, Vygantas Gruslys, Rolandas Zablockis, Edvardas Danila.
Figures




References
-
- Baque-Juston M, Pellegrin A, Leroy S, Marquette CH, Padovani B.. Organizing pneumonia: What is it? A conceptual approach and pictorial review. Diagnostic and Interventional Imaging. 2014. Sep;95(9):771–7. - PubMed
-
- Chandra D, Maini R, Hershberger DM.. Cryptogenic Organizing Pneumonia. StatPearls. Treasure Island (FL): StatPearls Publishing; 2020; Available from: http://www.ncbi.nlm.nih.gov/books/NBK507874/ - PubMed
-
- Cottin V, Cordier J-F.. Cryptogenic Organizing Pneumonia. Semin Respir Crit Care Med. 2012. Oct;33(5):462–75. - PubMed
Publication types
LinkOut - more resources
Full Text Sources