Para and Post-COVID-19 CNS Acute Demyelinating Disorders in Children: A Case Series on Expanding the Spectrum of Clinical and Radiological Characteristics
- PMID: 35475081
- PMCID: PMC9023167
- DOI: 10.7759/cureus.23405
Para and Post-COVID-19 CNS Acute Demyelinating Disorders in Children: A Case Series on Expanding the Spectrum of Clinical and Radiological Characteristics
Abstract
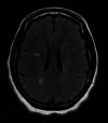
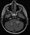
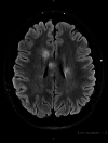
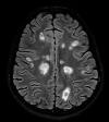
Viral infections can serve as a trigger for variable autoimmune, antibody-mediated demyelinating disorders. There is accumulating evidence that the severe acute respiratory syndrome coronavirus 2 (SARS-CoV-2) virus, causing coronavirus disease 2019 (COVID-19) infection and responsible for the current worldwide pandemic, can lead to a cascade of immune-mediated brain and spinal cord demyelinating injuries. However, such observation in the pediatric age group was only reported in very few patients. Thus, the heterogeneous spectrum of this phenomenon in children is still unfolding. We are reporting a case series of five pediatric patients with a variety of acute central nervous system (CNS) demyelinating disorders in the context of acute or recent COVID-19 infection. A 16-year-old female with anti-myelin oligodendrocyte glycoprotein (MOG) disorder, an eight-year-old male with acute disseminated encephalomyelitis (ADEM), a 13-year-old female with neuromyelitis optica spectrum disorder (NMOSD), and two 14 and 13-year-old females with new-onset multiple sclerosis (MS) are reported, all of whom presented acutely following COVID-19 infection. We propose that para and post-infectious CNS demyelinating disorders can potentially follow acute COVID-19 infection in children. Considering SARS-CoV-2 testing as a part of diagnostic workup is possibly useful. Awareness of the presence of this phenomenon can help in the recognition and management of those patients.
Keywords: a review; case report series; covid-19 in children; demyelinating neurological disorder; immune mediated phenomenon; post covid-19 manifestations.
Copyright © 2022, Khair et al.
Conflict of interest statement
The authors have declared that no competing interests exist.
Figures






References
-
- Vaccination-associated acute disseminated encephalomyelitis. Torisu H, Okada K. Vaccine. 2019;37:1126–1129. - PubMed
-
- Filippi M, Rocca MA. White Matter Diseases. An Update for Neurologists. Switzerland: Springer Nature; 2020. Acute disseminated encephalomyelitis; pp. 109–125.
Publication types
LinkOut - more resources
Full Text Sources
Miscellaneous