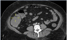
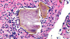
Unusual cause of colonic mucosal ulceration and gastrointestinal bleeding
- PMID: 35493629
- PMCID: PMC8996096
- DOI: 10.1136/flgastro-2021-101844
Unusual cause of colonic mucosal ulceration and gastrointestinal bleeding
Keywords: colorectal pathology; gastrointestinal bleeding.
Conflict of interest statement
Competing interests: None declared.
Figures



References
LinkOut - more resources
Full Text Sources