Reversible myocardial ischaemia caused by ectopic left circumflex coronary artery: a case report
- PMID: 35497388
- PMCID: PMC9048942
- DOI: 10.1093/ehjcr/ytac171
Reversible myocardial ischaemia caused by ectopic left circumflex coronary artery: a case report
Abstract
Background: Coronary artery anomalies (CAAs) are congenital disorders associated with variable manifestations and pathophysiological mechanisms. Anomalies can be asymptomatic or cause chest pain, myocardial infarction, or even sudden cardiac death.
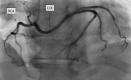
Case summary: We describe a 34-year-old man with a history of a single episode of chest pain. An ectopic origin on the part of the left circumflex (LCX) coronary artery from the proximal right coronary artery (RCA) was evident upon coronary computed tomography angiography. A positron emission tomography perfusion study revealed a stress-induced perfusion defect in the anomalous LCX territory (infero-posterior wall). The patient experienced dyspnoea and ST-segment depression in electrocardiography, suggestive of myocardial ischaemia during the maximal bicycle ergometer stress test. No mechanical compression or stenosis was seen upon invasive coronary angiography. The left ventricular perfusion normalized after the initiation of beta-blocker medication.
Discussion: Patients with CAAs especially benefit from a multimodality assessment of the vascular territories. In our case, the myocardial perfusion of the infero-posterior wall normalized after treatment with beta-blockers. This may be due to increased coronary vasodilation capacity and myocardial flow reserve, as well as reduced oxygen consumption. Beta-blockers may represent a viable option in low-symptomatic CAA patients with perfusion defect and no ostial stenosis or compression.
Keywords: Case report; Coronary anomaly; Left circumflex coronary artery; Myocardial ischaemia; PET perfusion.
© The Author(s) 2022. Published by Oxford University Press on behalf of the European Society of Cardiology.
Figures
 
              
              
              
              
                
                
                 
              
              
              
              
                
                
                 
              
              
              
              
                
                
                 
              
              
              
              
                
                
                 
              
              
              
              
                
                
                 
              
              
              
              
            References
- 
    - García-Rinaldi R, Sosa J, Olmeda S, Cruz H, Carballido J, Quintana C. Surgical treatment of right coronary arteries with anomalous origin and slit ostium. Ann Thorac Surg 2004;77:1525–1529. - PubMed
 
Publication types
LinkOut - more resources
- Full Text Sources
