Isolated splenic cystic echinococcosis and albendazole hepatotoxicity
- PMID: 35498906
- PMCID: PMC9043975
- DOI: 10.1016/j.idcr.2022.e01501
Isolated splenic cystic echinococcosis and albendazole hepatotoxicity
Abstract
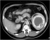
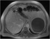
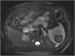
Isolated splenic cystic echinococcosis is a rare condition. In Greece the number of cases has declined substantially in the last 20 years. The spleen is the second most common extrahepatic site of cystic echinococcosis. Albendazole is safe, but mebendazole can be used as a substitute, in case of adverse reaction. Our patient was diagnosed with isolated splenic echinococcal cyst, during the investigation for newly diagnosed type 2 diabetes mellitus. We opted for elective splenectomy, based on a risk assessment due to the patient's working conditions, and treatment with albendazole represented a safety measure until surgery was possible. The patient developed acute hepatocellular injury to albendazole after eight weeks of treatment. This was confirmed through rechallenge with albendazole after discontinuation of the drug. Postsplenectomy the treatment with mebendazole proved to be safe with no adverse reactions. Even though, albendazole is known to be safe, monitoring of hepatic enzymes and full blood count should be offered. In case of toxicities, mebendazole with or without praziquantel can be used. Toxicity to mebendazole can be similar to albendazole but a trial is worthwhile. In our patient, treatment with mebendazole was uneventful.
Keywords: Albendazole; Echinococcosis; Echinococcus; Hepatotoxicity; Mebendazole.
© 2022 The Authors.
Figures












References
-
- Gupta V., Kaira V., Sharma J., et al. Primary hydatid cyst of spleen: a rare entity. J Trop Dis. 2014;2(2):1. doi: 10.4172/2329-891X.1000131. - DOI
Publication types
LinkOut - more resources
Full Text Sources