Calcifications in diffuse leptomeningeal glioneuronal tumors: a case series
- PMID: 35502376
- PMCID: PMC9014155
- DOI: 10.21037/qims-21-741
Calcifications in diffuse leptomeningeal glioneuronal tumors: a case series
Abstract
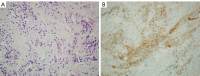
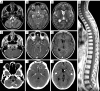
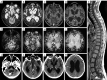
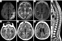
Diffuse leptomeningeal glioneuronal tumor (DLGNT) is a new rare entity, typically seen in the pediatric population. Classical neuroimaging features at clinical onset include marked subarachnoid/leptomeningeal enhancement and tiny pseudo-cystic lesions along the subpial surface of the neuroaxis, frequently associated with communicating hydrocephalus. However, data on the long-term appearance of this tumor on computed tomography (CT) and magnetic resonance imaging (MRI) are still lacking. We describe a peculiar pattern of progressive leptomeningeal calcifications in three young patients with DLGNT. The calcifications, mainly located in the basal cisterns, sylvian fissures and posterior surface of the thalami, were present at clinical onset in the older subject and appeared about 2 years after clinical onset in the other two. Patients underwent different schemes of chemotherapy, variably associated with craniospinal irradiation and/or bevacizumab. In all cases, calcifications were present before starting craniospinal irradiation and/or treatment with bevacizumab. This novel peculiar pattern of progressive leptomeningeal calcifications expands the imaging phenotype of DLGNT and should be carefully sought, especially in later phases of the disease. Taking into consideration the onset, evolution, and absence of direct relationship with treatments, we hypothesize that calcifications in DLGNTs might be the effect of natural changes in the tumor and its environment.
Keywords: Diffuse leptomeningeal glioneuronal tumor (DLGNT); calcifications; case report; chemotherapy; radiotherapy.
2022 Quantitative Imaging in Medicine and Surgery. All rights reserved.
Conflict of interest statement
Conflicts of Interest: All authors have completed the ICMJE uniform disclosure form (available at https://qims.amegroups.com/article/view/10.21037/qims-21-741/coif). The authors have no conflicts of interest to declare.
Figures





References
-
- Louis DN, Perry A, Wesseling P, Brat DJ, Cree IA, Figarella-Branger D, Hawkins C, Ng HK, Pfister SM, Reifenberger G, Soffietti R, von Deimling A, Ellison DW. The 2021 WHO classification of tumors of the central nervous system: a summary. Neuro Oncol 2021;23:1231-51. 10.1093/neuonc/noab106 - DOI - PMC - PubMed
-
- Preuss M, Christiansen H, Merkenschlager A, Hirsch FW, Kiess W, Müller W, Kästner S, Henssler A, Pekrun A, Hauch H, Nathrath M, Meixensberger J, Pietsch T, Kuchelmeister K. Disseminated oligodendroglial-like leptomeningeal tumors: preliminary diagnostic and therapeutic results for a novel tumor entity corrected. J Neurooncol 2015;124:65-74. 10.1007/s11060-015-1735-z - DOI - PubMed
Publication types
LinkOut - more resources
Full Text Sources