An introduction to the WHO 5th edition 2022 classification of testicular tumours
- PMID: 35502823
- PMCID: PMC9544657
- DOI: 10.1111/his.14675
An introduction to the WHO 5th edition 2022 classification of testicular tumours
Abstract
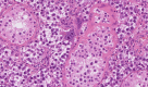
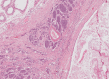
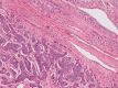
The 5th edition of the World Health Organisation Blue Book was published recently and includes a comprehensive update on testicular tumours. This builds upon the work of the 4th edition, retaining its structure and main nomenclature, including the use of the term 'germ cell neoplasia in situ' (GCNIS) for the pre-invasive lesion of most germ cell tumours and division from those not derived from GCNIS. While there have been important developments in understanding the molecular underpinnings of testicular cancer, this updated classification paradigm and approach remains rooted in morphology. Nomenclature changes include replacement of the term 'primitive neuroectodermal tumour' by 'embryonic neuroectodermal tumour' based on the non-specificity of the former term and to separate these tumours clearly from Ewing sarcoma. Seminoma is placed in a germinoma family of tumours emphasising relation to those tumours at other sites. Criteria for the diagnosis of 'teratoma with somatic transformation' have been modified to not include variable field size assessments. The word 'carcinoid' has been changed to 'neuroendocrine tumour', with most examples in the testis now classified as 'prepubertal type testicular neuroendocrine tumour'. For sex cord-stromal tumours, the use of mitotic counts per high-power field has been changed to per mm2 for malignancy assessments, and the new entities, 'signet ring stromal tumour' and 'myoid gonadal stromal tumour', are defined. Well-differentiated papillary mesothelial tumour has now been defined as tumour type with a favourable prognosis. Sertoliform cystadenoma has been removed as an entity from testicular adnexal tumours and placed with Sertoli cell tumours.
Keywords: Germ Cell Tumour; WHO; classification; teratoma; testis.
© 2022 The Authors. Histopathology published by John Wiley & Sons Ltd.
Figures







References
-
- Pugh RCB. Testicular tumours – introduction. In Pugh RCB ed. Pathology of the testis. Oxford, UK: Blackwell Scientific, 1976; 139–159.
-
- Williamson SR, Delahunt B, Magi‐Galluzzi C, Algaba F, Egevad L, Ulbright TM et al. The World Health Organization 2016 classification of testicular germ cell tumours: a review and update from the International Society of Urological Pathology Testis Consultation Panel. Histopathology 2017; 70; 335–346. - PubMed
-
- Berney DM, Looijenga LH, Idrees M, Oosterhuis JW, Rajpert‐De Meyts E, Ulbright TM et al. Germ cell neoplasia in situ (GCNIS): evolution of the current nomenclature for testicular pre‐invasive germ cell malignancy. Histopathology 2016; 69; 7–10. - PubMed
-
- World Health Organisation (WHO) . WHO classification of tumours; urinary and male genital tumours. 5th ed. Lyon, France: International Agency for Research on Cancer, 2022.
-
- Kao CS, Idrees MT, Young RH, Ulbright TM. ‘Dissecting gonadoblastoma’ of Scully: a morphologic variant that often mimics germinoma. Am. J. Surg. Pathol. 2016; 40; 1417–1423. - PubMed
Publication types
MeSH terms
Grants and funding
LinkOut - more resources
Full Text Sources
Medical