The forgotten lacrimal gland and lacrimal drainage apparatus: pictorial review of CT and MRI findings and differential diagnosis
- PMID: 35522773
- PMCID: PMC10996330
- DOI: 10.1259/bjr.20211333
The forgotten lacrimal gland and lacrimal drainage apparatus: pictorial review of CT and MRI findings and differential diagnosis
Abstract
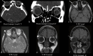
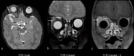
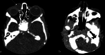
The lacrimal gland is a bilobed serous gland located in the superolateral aspect of the orbit. Lacrimal system pathologies can be broadly divided into pathologies of the lacrimal gland and those of the nasolacrimal drainage apparatus. These include distinct congenital, infectious, inflammatory, and benign, indeterminate, and malignant neoplastic lesions. Trauma and resultant fractures affecting lacrimal drainage apparatus is not part of this review; only non-traumatic diseases will be discussed. CT is the initial modality of choice because of its ability to delineate lacrimal system anatomy and demonstrate most lacrimal drainage system abnormalities and their extent. It also assesses bony architecture and characterizes any osseous changes. MRI is helpful in further characterizing these lesions and better assessing involvement of the surrounding soft tissue structures. In this pictorial review, we will review the anatomy of the lacrimal system, describe CT/MRI findings of the common and uncommon lacrimal system abnormalities and discuss relevance of imaging with regards to patient management.
Figures














References
-
- Kanski JJ . Acute Dacyoadenitis . In : Kanski’s Clinical Ophthalmology: A Systematic Approach . Oxford, UK: : Butterworth-Heinemann Elsevier; ; 2008. pp . 178 – 79 .
Publication types
MeSH terms
LinkOut - more resources
Full Text Sources
Medical