The humeral suspension technique: a novel operation for deltoid paralysis
- PMID: 35545247
- PMCID: PMC9471822
- DOI: 10.5397/cise.2021.00563
The humeral suspension technique: a novel operation for deltoid paralysis
Abstract
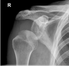
Isolated deltoid paralysis is a rare pathology that can occur after axillary nerve injury due to shoulder trauma or infection. This condition leads to loss of deltoid function that can cause glenohumeral instability and inferior subluxation, resulting in rotator cuff muscle fatigue and pain. To establish dynamic glenohumeral stability, a novel technique was invented. Humeral suspension is achieved using a double button implant with non-resorbable high strength cords between the acromion and humeral head. This novel technique was used in two patients with isolated deltoid paralysis due to axillary nerve injury. The results indicate that the humeral suspension technique is a method that supports centralizing the humeral head and simultaneously dynamically stabilizes the glenohumeral joint. This approach yielded high patient satisfaction and reduced pain. Glenohumeral alignment was improved and remained intact 5 years postoperative. The humeral suspension technique is a promising surgical method for subluxated glenohumeral joint instability due to isolated deltoid paralysis.
Keywords: Axillary nerve injury; Brachial plexus neuropathies; Glenohumeral instability; Humeral suspension technique; Deltoid muscle paralysis.
Conflict of interest statement
None.
Figures



References
-
- Steinmann SP, Moran EA. Axillary nerve injury: diagnosis and treatment. J Am Acad Orthop Surg. 2001;9:328–35. - PubMed
-
- Werthel JD, Bertelli J, Elhassan BT. Shoulder function in patients with deltoid paralysis and intact rotator cuff. Orthop Traumatol Surg Res. 2017;103:869–73. - PubMed
-
- Bertelli JA, Ghizoni MF. Abduction in internal rotation: a test for the diagnosis of axillary nerve palsy. J Hand Surg Am. 2011;36:2017–23. - PubMed
-
- Koshy JC, Agrawal NA, Seruya M. Nerve transfer versus interpositional nerve graft reconstruction for posttraumatic, isolated axillary nerve injuries: a systematic review. Plast Reconstr Surg. 2017;140:953–60. - PubMed
-
- Kotwal PP, Mittal R, Malhotra R. Trapezius transfer for deltoid paralysis. J Bone Joint Surg Br. 1998;80:114–6. - PubMed
LinkOut - more resources
Full Text Sources