Preoperative Management of Perihilar Cholangiocarcinoma
- PMID: 35565250
- PMCID: PMC9104035
- DOI: 10.3390/cancers14092119
Preoperative Management of Perihilar Cholangiocarcinoma
Abstract
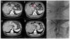
Perihilar cholangiocarcinoma is a rare hepatobiliary malignancy that requires thoughtful, multidisciplinary evaluation in the preoperative setting to ensure optimal patient outcomes. Comprehensive preoperative imaging, including multiphase CT angiography and some form of cholangiographic assessment, is key to assessing resectability. While many staging systems exist, the Blumgart staging system provides the most useful combination of resectability assessment and prognostic information for use in the preoperative setting. Once resectability is confirmed, volumetric analysis should be performed. Upfront resection without biliary drainage or portal venous embolization may be considered in patients without cholangitis and an estimated functional liver remnant (FLR) > 40%. In patients with FLR < 40%, judicious use of biliary drainage is advised, with the goal of selective biliary drainage of the functional liver remnant. Percutaneous biliary drainage may avoid inadvertent contamination of the contralateral biliary tree and associated infectious complications, though the relative effectiveness of percutaneous and endoscopic techniques is an ongoing area of study and debate. Patients with low FLR also require intervention to induce hypertrophy, most commonly portal venous embolization, in an effort to reduce the rate of postoperative liver failure. Even with extensive preoperative workup, many patients will be found to have metastatic disease at exploration and diagnostic laparoscopy may reduce the rate of non-therapeutic laparotomy. Management of perihilar cholangiocarcinoma continues to evolve, with ongoing efforts to improve preoperative liver hypertrophy and to further define the role of transplantation in disease management.
Keywords: biliary drainage; cholangiocarcinoma; hepatectomy; hilar cholangiocarcinoma; preoperative management.
Conflict of interest statement
The authors declare no conflict of interest.
Figures
References
-
- Groot Koerkamp B., Wiggers J.K., Allen P.J., Besselink M.G., Blumgart L.H., Busch O.R., Coelen R.J., D’Angelica M.I., DeMatteo R.P., Gouma D.J., et al. Recurrence Rate and Pattern of Perihilar Cholangiocarcinoma after Curative Intent Resection. J. Am. Coll. Surg. 2015;221:1041–1049. doi: 10.1016/j.jamcollsurg.2015.09.005. - DOI - PMC - PubMed
Publication types
Grants and funding
LinkOut - more resources
Full Text Sources
