[Viral pneumonia. COVID-19 pneumonia]
- PMID: 35582693
- PMCID: PMC9097969
- DOI: 10.1016/j.med.2022.05.003
[Viral pneumonia. COVID-19 pneumonia]
Abstract
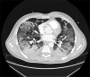
Viruses are becoming more and more important as etiological agents of pneumonia, mainly due to improvements in diagnostic techniques. At present, they account for approximately one-third of community-acquired pneumonia cases. They tend to occur in children and elderly patients, causing anything from mild cases to severe cases which require intubation and intensive care. The main causative agents include rhinovirus, influenza virus A or B, metapneumovirus, respiratory syncytial virus, parainfluenza virus, coronavirus, or adenovirus. Infection produced by SARS-CoV-2, the cause of the current COVID-19 pandemic, which has had devastating consequences, is proof of the vital importance of viral pneumonia. This is the main subject of this update. Drawing on the abundant information available, which has been continuously evolving since the beginning of the pandemic, this section will review the main characteristics of the virus, its pathophysiology, and its clinical manifestations as well as the main diagnostic and treatment methods.
Los virus están cobrando cada vez más importancia como agentes etiológicos de la neumonía, en base, principalmente, a la mejoría de las técnicas de diagnóstico, suponiendo actualmente aproximadamente un tercio de los casos de neumonía adquirida en la comunidad. Suelen ocurrir en la edad infantil y en pacientes de edad avanzada, causando desde casos leves a casos graves que precisan intubación y cuidados intensivos. Entre los principales agentes responsables están: rinovirus, virus influenza A o B, meta-pneumovirus, virus respiratorio sincitial, parainfluenzae, coronavirus o adenovirus. La infección producida por SARS-CoV-2, causante de la actual pandemia de COVID-19 de consecuencias devastadoras, es muestra de la vital importancia de la neumonía vírica y representa el objeto principal de la presente actualización. Usando la abundante información disponible, en continua evolución desde el inicio de la pandemia, en esta actualización se revisarán las principales características del virus, su fisiopatología y las manifestaciones clínicas, así como los principales métodos de diagnóstico y tratamiento.
Keywords: Atypical pneumonia; COVID-19; Influenza; SARS-CoV-2.
.
Figures


References
Publication types
LinkOut - more resources
Full Text Sources
Miscellaneous