Nonlesional Sources of Contrast Enhancement on Postgadolinium "Black-Blood" 3D T1-SPACE Images in Patients with Multiple Sclerosis
- PMID: 35618421
- PMCID: PMC9172944
- DOI: 10.3174/ajnr.A7529
Nonlesional Sources of Contrast Enhancement on Postgadolinium "Black-Blood" 3D T1-SPACE Images in Patients with Multiple Sclerosis
Abstract
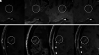
Background and purpose: We hypothesized that 3D T1-TSE "black-blood" images may carry an increased risk of contrast-enhancing lesion misdiagnosis in patients with MS because of the misinterpretation of intraparenchymal vein enhancement. Thus, the occurrence of true-positive and false-positive findings was compared between standard MPRAGE and volumetric interpolated brain examination techniques.
Materials and methods: Sampling perfection with application-optimized contrasts by using different flip-angle evolution (SPACE) images obtained from 232 patients with MS, clinically isolated syndrome, or radiologically isolated syndrome were compared with standard MPRAGE and volumetric interpolated brain examination images. The intraparenchymal vein contrast-to-noise ratio was estimated at the level of the thalami. Contrast-enhancing lesions were blindly detected by 2 expert readers and 1 beginner reader. True- and false-positives were determined by senior readers' consensus. True-positive and false-positive frequency differences and patient-level diagnosis probability were tested with the McNemar test and OR. The contrast-to-noise ratio and morphology were compared using the Mann-Whitney U and χ2 tests.
Results: The intraparenchymal vein contrast-to-noise ratio was higher in SPACE than in MPRAGE and volumetric interpolated brain examination images (P < .001, both). There were 66 true-positives and 74 false-positives overall. SPACE detected more true-positive and false-positive results (P range < .001-.07) but did not increase the patient's true-positive likelihood (OR = 1 1.29, P = .478-1). However, the false-positive likelihood was increased (OR = 3.03-3.55, P = .008-.027). Venous-origin false-positives (n = 59) with contrast-to-noise ratio and morphology features similar to small-sized (≤14 mm3 P = .544) true-positives occurred more frequently in SPACE images (P < .001).
Conclusions: Small intraparenchymal veins may confound the diagnosis of enhancing lesions on postgadolinium black-blood SPACE images.
© 2022 by American Journal of Neuroradiology.
Figures




References
Publication types
MeSH terms
Substances
LinkOut - more resources
Full Text Sources
Medical