Altered Expression of Protamine-like and Their DNA Binding Induced by Cr(VI): A Possible Risk to Spermatogenesis?
- PMID: 35625627
- PMCID: PMC9138527
- DOI: 10.3390/biom12050700
Altered Expression of Protamine-like and Their DNA Binding Induced by Cr(VI): A Possible Risk to Spermatogenesis?
Abstract
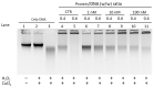
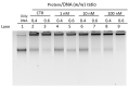
Chromium (VI) is the most dangerous oxidation state among the stable forms of chromium. In this work, we evaluated the effect of exposing Mytilus galloprovincialis for 24 h to 1, 10, and 100 nM chromium (VI) on the properties of Protamine-like (PLs) and their gene levels in the gonads. Specifically, we analyzed, by AU-PAGE and SDS-PAGE, PLs extracted from unexposed and exposed mussels. In addition, via EMSA, we evaluated the ability of PLs to bind DNA and also verified their potential to protect DNA from oxidative damage. Finally, we assessed possible alterations in gonadal expression of mt10, hsp70, and genes encoding for PLs-II/PL-IV and PL-III. We found that for all experimental approaches the most relevant alterations occurred after exposure to 1 nM Cr(VI). In particular, a comigration of PL-II with PL-III was observed by SDS-PAGE; and a reduced ability of PLs to bind and protect DNA from oxidative damage was recorded. This dose of chromium (VI) exposure was also the one that produced the greatest alterations in the expression of both mt10 and PL-II/PL-IV encoding genes. All of these changes suggest that this dose of chromium (VI) exposure could affect the reproductive health of Mytilus galloprovincialis.
Keywords: DNA binding; DNA oxidative damage; Mytilus galloprovincialis; chromium; gonad; protamine-like proteins; reproduction; sperm chromatin; spermatozoa; stress and protamine-like proteins genes.
Conflict of interest statement
The authors declare no conflict of interest.
Figures
References
-
- Dabizha A., Kersten M. Exothermic adsorption of chromate by goethite. Appl. Geochem. 2020;123:104785. doi: 10.1016/j.apgeochem.2020.104785. - DOI
MeSH terms
Substances
LinkOut - more resources
Full Text Sources
