Clinical and Radiological Follow-Up of a Pfizer-BioNTech COVID-19 Vaccine-Induced Hemichorea-Hemiballismus
- PMID: 35646423
- PMCID: PMC9122005
- DOI: 10.5334/tohm.688
Clinical and Radiological Follow-Up of a Pfizer-BioNTech COVID-19 Vaccine-Induced Hemichorea-Hemiballismus
Abstract
Background: Hemichorea-hemiballismus is a rare hyperkinetic movement disorder.
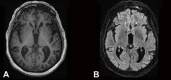
Case report: A 90-year-old male developed left hemichorea-hemiballismus after his second dose of the Pfizer-BioNTech COVID-19 vaccine. A wide range of investigations including magnetic resonance imaging did not reveal an alternative cause. [18F]-fluorodeoxyglucose-positron emission tomography (FDG-PET) showed increases in right putamen fixation compared to the left side. The patient showed significant improvement after five days of intravenous corticosteroids, with a normal FDG-PET.
Discussion: This hemichorea-hemiballismus case shows dynamic restoration of putamen metabolism mirroring clinical evolution after administration of corticosteroids, suggesting an autoimmune COVID-19 vaccine-induced reaction.
Keywords: COVID-19; FDG-TEP; Hemichorea; hemiballismus; vaccine.
Copyright: © 2022 The Author(s).
Conflict of interest statement
The authors have no competing interests to declare.
Figures


Comment in
-
Clinical and Radiological Follow-Up of a Pfizer-BioNTech COVID-19 Vaccine-Induced Hemichorea-Hemiballismus; Insights Into Mechanisms of Basal Ganglia Dysfunction.Tremor Other Hyperkinet Mov (N Y). 2022 May 18;12:17. doi: 10.5334/tohm.697. eCollection 2022. Tremor Other Hyperkinet Mov (N Y). 2022. PMID: 35646425 Free PMC article.
References
-
- Martin JP, Alcock NS. HEMICHOREA ASSOCIATED WITH A LESION OF THE CORPUS LUYSII. Brain. 1934. Dec 1; 57(4): 504–16. DOI: 10.1093/brain/57.4.504 - DOI
Publication types
MeSH terms
Substances
LinkOut - more resources
Full Text Sources
Medical