Skip to main page content
U.S. flag

An official website of the United States government

Dot gov

The .gov means it’s official.
Federal government websites often end in .gov or .mil. Before sharing sensitive information, make sure you’re on a federal government site.

Https

The site is secure.
The https:// ensures that you are connecting to the official website and that any information you provide is encrypted and transmitted securely.

Access keys NCBI Homepage MyNCBI Homepage Main Content Main Navigation
Case Reports
. 2022 Apr 27;14(4):e24544.
doi: 10.7759/cureus.24544. eCollection 2022 Apr.

A Challenging "Achy" Neck

Affiliations
Case Reports

A Challenging "Achy" Neck

John P Yaro et al. Cureus. .

Abstract

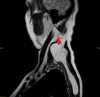
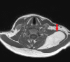
Lipomas are common benign mesenchymal tumours that may occur in many regions of the body. Giant neck lipomas are uncommon, especially when they arise from the neck and extend into the thorax. In this case report, we present a unique case of a giant submuscular lipoma involving the posterior neck triangle extending down to the scapular tip. A 43-year-old male presented with a six-month history of two slow-growing masses involving the left neck and scapular region. MRI demonstrated a single large fat suppressing lesion underlying the left trapezius muscle extending down to the scapula with homogenous signal return and smooth outline measuring 4.5x7.5 cm by 16 cm. Histology showed features consistent with lipoma. Giant lipomas in the neck post a significant diagnostic and surgical challenge. The importance of pre-operative planning and patient involvement in decision-making are essential.

Keywords: angiolipoma; giant lipoma; liposarcoma; posterior neck; rare diseases.

PubMed Disclaimer

Conflict of interest statement

The authors have declared that no competing interests exist.

Figures

Figure 1
Figure 1. MRI Scan (Coronal)
Figure 2
Figure 2. MRI Scan (Axial)
Figure 3
Figure 3. MRI Scan (Sagittal)
Figure 4
Figure 4. Intra-operative photo
Figure 5
Figure 5. Intra-operative photos (after removal)
Figure 6
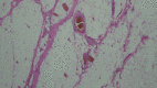
Figure 6. Histopathological image showing a lipoma (2 vessels present)
Hematoxylin and Eosin (H&E) stain, Magnification x2
Figure 7
Figure 7. Lipoma (adipocytes)
Hematoxylin and Eosin (H&E) stain, Magnification x4

References

    1. Giant lipoma of the anterior neck causing dyspnea. Cukic O. J Craniofac Surg. 2020;31:0–5. - PubMed
    1. Size, site and clinical incidence of lipoma. Factors in the differential diagnosis of lipoma and sarcoma. Rydholm A, Berg NO. Acta Orthop Scand. 1983;54:929–934. - PubMed
    1. Lipoma excision. Salam GA. https://www.aafp.org/afp/2002/0301/p901.html. Am Fam Physician. 2002;65:901–904. - PubMed
    1. Surgical Pathology of the Head and Neck. New York: Dekker; 1985. Tumours and tumour-like lesions of the head and neck; pp. 747–758.
    1. Soft Tissue Tumours 3rd Edition. Enzinger FW, SW. St Louis: Mosby-Year-Book; 1995. Benign Lipomatous Tumours; pp. 381–430.

Publication types

LinkOut - more resources