A case of anti-laminin gamma-1 (p200) pemphigoid with bullous lesions on the lips, hands and feet showing antibodies to desmoglein 1
- PMID: 35665215
- PMCID: PMC9060012
- DOI: 10.1002/ski2.101
A case of anti-laminin gamma-1 (p200) pemphigoid with bullous lesions on the lips, hands and feet showing antibodies to desmoglein 1
Abstract
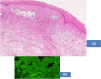
An 87-years-old-man presented with bullous and erosive lesions exclusively on the lips, hands and feet. Histopathological and direct immunofluorescence studies suggested the diagnosis of bullous pemphigoid, but the serum anti-BP180 antibodies were negative. Strangely, anti-desmoglein 1 antibodies were positive, although no pemphigus-like features were found. Indirect immunofluorescence showed IgG reactivity with dermal side of 1 M NaCl-split skin. Immunoblotting showed positive reactivity with the 200 kDa laminin gamma-1 but not with type VII collagen. After the administration of prednisolone 20 mg/day, bullous lesions cleared within 2 weeks.
© 2022 The Authors. Skin Health and Disease published by John Wiley & Sons Ltd on behalf of British Association of Dermatologists.
Conflict of interest statement
None to declare.
Figures



References
-
- Ujiie H, Iwata H, Yamagami J, Nakama T, Aoyama Y, Ikeda S, et al. Clinical guidelines of pemphigoid (including epidermolysis bullosa acquisita). Jpn J Dermatol. 2017;127:1483–521. - PubMed
-
- Dainichi T, Koga H, Tsuji T, Ishii N, Ohyama B, Ueda A, et al. From anti‐p200 pemphigoid to anti‐laminin gamma1 pemphigoid. J Dermatol. 2010;37:231–8. - PubMed
-
- Meijer JM, Diercks GFH, Schmidt E, Pas HH, Jonkman MF. Laboratory diagnosis and clinical profile of anti‐p200 pemphigoid. JAMA Dermatol. 2016;152:897–904. - PubMed
Publication types
LinkOut - more resources
Full Text Sources