Skip to main page content
U.S. flag

An official website of the United States government

Dot gov

The .gov means it’s official.
Federal government websites often end in .gov or .mil. Before sharing sensitive information, make sure you’re on a federal government site.

Https

The site is secure.
The https:// ensures that you are connecting to the official website and that any information you provide is encrypted and transmitted securely.

Access keys NCBI Homepage MyNCBI Homepage Main Content Main Navigation
Case Reports
. 2022 May 6;14(5):e24775.
doi: 10.7759/cureus.24775. eCollection 2022 May.

Nearly Missed Pharyngeal Foreign Body: A Three-Year-Old van Gogh

Affiliations
Case Reports

Nearly Missed Pharyngeal Foreign Body: A Three-Year-Old van Gogh

Philippe Haroun et al. Cureus. .

Abstract

Foreign body injuries in the head and neck region can be life-threatening. Managing pediatric patients in this context may be increasingly challenging due to several medical and legal reasons. In order to optimize the management of foreign body injuries and to guide treatment procedures, various imaging techniques, with specific assets and liabilities, must be employed. Nevertheless, the "As Low As Reasonably Achievable'' principle must be kept in mind when managing pediatric patients since children are more radiosensitive than adults. Guidelines for imaging pediatric head traumas are provided by the American College of Radiology (ACR), relying on the Pediatric Emergency Care Applied Research Network (PECARN) severity classification. We report the case of a three-year-old child in whom a considerable delay occurred in diagnosing a foreign body impaction, due to an occult clinical presentation. In this case study, we focus on outlining the importance of considering advanced imaging investigations for children in the wake of traumatic events.

Keywords: delayed diagnosis; head and neck imaging; pediatric head trauma; pharyngeal foreign body; radiolucent object.

PubMed Disclaimer

Conflict of interest statement

The authors have declared that no competing interests exist.

Figures

Figure 1
Figure 1. Coronal (A) and lateral (B) standard radiographs of the cervical spine showing non-specific thickening of the prevertebral soft tissues (arrows).
Figure 2
Figure 2. Sagittal (A), coronal oblique (B), and axial oblique (C) reconstructions of contrast-enhanced CT scan illustrating a 5.8-cm long, linear hypodensity located in the prevertebral soft tissues, along with an inversion of the cervical spine lordosis.
Figure 3
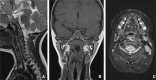
Figure 3. Sagittal T2-weighted (A), coronal T1-weighted (B) and axial T2-weighted with fat saturation (C) planes of the head and neck MRI.
(A) Cranial portion of the foreign body (orange arrow) perforating the left longus colli muscle associated with high intensity T2-weighted changes within the muscle; (B) Right extremity of the foreign body (orange arrow); (C) Infiltration and thickening of the left longus colli muscle near to the foreign body (orange arrow).
Figure 4
Figure 4. Photograph of the plastic paintbrush fragment upon retrieval, measuring 5.5 cm.

References

    1. Imaging foreign bodies in head and neck trauma: a pictorial review. Voss JO, Maier C, Wüster J, et al. Insights Imaging. 2021;12:20. - PMC - PubMed
    1. Multimodality imaging of foreign bodies: new insights into old challenges. Carneiro BC, Cruz IA, Chemin RN, et al. Radiographics. 2020;40:1965–1986. - PubMed
    1. Foreign bodies. Hunter TB, Taljanovic MS. Radiographics. 2003;23:731–757. - PubMed
    1. Foreign body injuries in children: a review. Passali D, Gregori D, Lorenzoni G, Cocca S, Loglisci M, Passali FM, Bellussi L. https://pubmed.ncbi.nlm.nih.gov/26824213/ Acta Otorhinolaryngol Ital. 2015;35:265–271. - PMC - PubMed
    1. Retained wooden foreign body in groin in a child: a case report and review of literature. Yhoshu E, Chaudhary G, Gupta MK. Afr J Paediatr Surg. 2020;17:127–130. - PMC - PubMed

Publication types

LinkOut - more resources