Multifocal and pathologically-confirmed brain metastasis complete response to trastuzumab deruxtecan
- PMID: 35674041
- PMCID: PMC9280405
- DOI: 10.2217/cns-2022-0010
Multifocal and pathologically-confirmed brain metastasis complete response to trastuzumab deruxtecan
Abstract
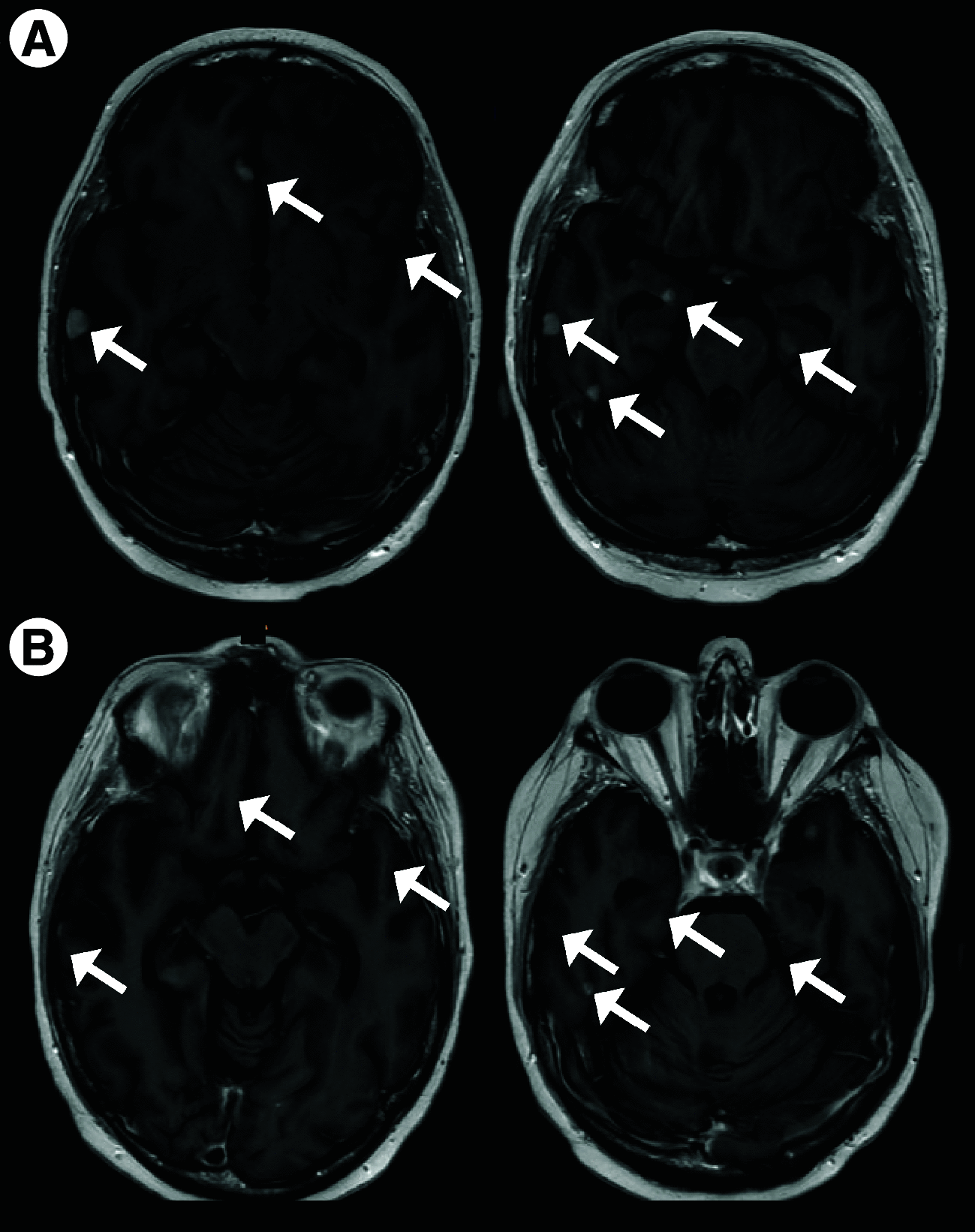
Antibody-drug conjugates have transformed the treatment of HER2+ breast and other cancers. Unfortunately, the CNS remains a sanctuary site for many such patients in part due to poor macromolecule penetration across the blood-brain tumor barrier. Trastuzumab deruxtecan (T-DXd), a high-payload antibody-drug conjugate, was recently found to improve progression-free survival in HER2+ breast cancer patients versus prior-generation trastuzumab emtansine, prompting us to evaluate CNS activity in a woman with brain-only metastatic disease. T-DXd achieved complete response despite heavy pretreatment. Three persistent, previously-irradiated lesions were biopsy-proven to represent treatment effect. Subsequent recurrence occurred upon treatment holiday; partial response was observed with rechallenge. This case suggests T-DXd is active in HER2+ breast cancer brain metastases and supports further prospective evaluation.
Keywords: brain neoplasm; breast neoplasms; metastasis; trastuzumab deruxtecan.
Figures



References
-
- Duchnowska R, Loibl S, Jassem J. Tyrosine kinase inhibitors for brain metastases in HER2-positive breast cancer. Cancer Treat. Rev. 67, 71–77 (2018). - PubMed
-
- Ramakrishna N, Temin S, Chandarlapaty S et al. Recommendations on disease management for patients with advanced human epidermal growth factor receptor 2-positive breast cancer and brain metastases: ASCO Clinical Practice Guideline update. J. Clin. Oncol. 36(27), 2804–2807 (2018). - PubMed
-
- Rostami R, Mittal S, Rostami P, Tavassoli F, Jabbari B. Brain metastasis in breast cancer: a comprehensive literature review. J. Neurooncol. 127(3), 407–414 (2016). - PubMed
Publication types
MeSH terms
Substances
Grants and funding
LinkOut - more resources
Full Text Sources
Other Literature Sources
Medical
Research Materials
Miscellaneous